• Tel: 858.663.9055
  • SeparatorEmail: info@nsjbio.com
  • Tel: 858.663.9055
  • Email: info@nsjbio.com
Home >> Antibodies >> Histone acetyltransferase 1 Antibody / HAT1 / KAT1

Histone acetyltransferase 1 Antibody / HAT1 / KAT1 (RQ6485)

  Catalog No Formulation Size Price (USD)  
Image RQ6485 0.5mg/ml if reconstituted with 0.2ml sterile DI water 100 ug 439
Bulk quote request
Immunofluorescent staining of FFPE human Caco-2 cells with Histone acetyltransferase 1 antibody (green) and DAPI nuclear stain (blue). HIER: steam section in pH6 citrate buffer for 20 min.
Immunofluorescent staining of FFPE human HeLa cells with Histone acetyltransferase 1 antibody (green) and Alpha Tubulin mAb (red). HIER: steam section in pH6 citrate buffer for 20 min.
Flow cytometry testing of fixed and permeabilized human 293T cells with Histone acetyltransferase 1 antibody at 1ug/million cells (blocked with goat sera); Red=cells alone, Green=isotype control, Blue= Histone acetyltransferase 1 antibody.
IHC staining of FFPE human lung cancer tissue with Histone acetyltransferase 1 antibody, HRP-secondary and DAB substrate. HIER: boil tissue sections in pH8 EDTA for 20 min and allow to cool before testing.
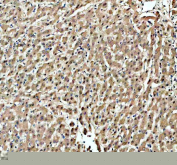
IHC staining of FFPE human liver cancer tissue with Histone acetyltransferase 1 antibody, HRP-secondary and DAB substrate. HIER: boil tissue sections in pH8 EDTA for 20 min and allow to cool before testing.
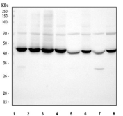
Western blot testing of 1) human HeLa, 2) human 293T, 3) human K562, 4) human RT4, 5) rat liver, 6) rat C6, 7) mouse liver and 8) mouse NIH 3T3 cell lysate with Histone acetyltransferase 1 antibody. Predicted molecular weight: 50 kDa (isoform a).
Availability 1-3 business days
Species Reactivity Human, Mouse, Rat
Format Antigen affinity purified
Clonality Polyclonal (rabbit origin)
Isotype Rabbit IgG
Purity Affinity purified
Buffer Lyophilized from 1X PBS with 2% Trehalose
UniProt O14929
Localization Cytoplasmic, nuclear
Applications Western Blot : 1-2ug/ml
Immunofluorescence : 5ug/ml
Flow Cytometry : 1-3ug/million cells
Immunohistochemistry (FFPE) : 2-5ug/ml
Limitations This Histone acetyltransferase 1 antibody is available for research use only.
Review this product on BioCompare and get a $20 Amazon gift card

Description

Histone acetyltransferase 1 (also called HAT1 and KAT1) is a type B histone acetyltransferase that acetylates newly synthesized histone H4 at K5 and K12 during replication-coupled chromatin assembly. Operating in cytoplasmic and nuclear compartments, Histone acetyltransferase 1 cooperates with histone chaperones to prepare H3-H4 dimers for nucleosome incorporation, supporting chromatin maturation, genome accessibility, and orderly epigenetic patterning.

By regulating nascent chromatin, Histone acetyltransferase 1 influences replication dynamics, nucleosome spacing, and the transfer of histone cargo across import and assembly pathways. Its activity provides a useful readout for studies of chromatin biogenesis, histone supply and trafficking, and acetyl–deacetyl balance across diverse cell states and experimental perturbations.

The Histone acetyltransferase 1 antibody enables specific detection of endogenous Histone acetyltransferase 1 in applications such as western blot, immunofluorescence, immunohistochemistry, and immunoprecipitation. Researchers use the Histone acetyltransferase 1 antibody to quantify protein abundance, assess subcellular localization, and monitor replication-coupled chromatin assembly alongside markers such as H4K5ac and H4K12ac. With high specificity and consistent performance, the Histone acetyltransferase 1 antibody from NSJ Bioreagents supports rigorous investigation of chromatin assembly and epigenetic regulation.

Application Notes

Optimal dilution of the Histone acetyltransferase 1 antibody should be determined by the researcher.

Immunogen

Amino acids EKFLVEYKSAVEKKLAEYK from the human protein were used as the immunogen for the Histone acetyltransferase 1 antibody.

Storage

After reconstitution, the Histone acetyltransferase 1 antibody can be stored for up to one month at 4oC. For long-term, aliquot and store at -20oC. Avoid repeated freezing and thawing.

Cross
Bulk Quote Request Form
Name*:
Organization*:
Email*:
Phone Number*:
Catalog No.*:
Comments and Specifics(amount, formulation, etc.)*:
Validation code: Captchapackage Image


Can't read the image? click here to refresh.
    *required field

Your bulk quote request has been submitted successfully!

Please contact us if you have any questions.