• Tel: 858.663.9055
  • SeparatorEmail: info@nsjbio.com
  • Tel: 858.663.9055
  • Email: info@nsjbio.com
Home >> Antibodies >> HIP1R Antibody / Huntingtin-interacting protein 1-related protein

HIP1R Antibody / Huntingtin-interacting protein 1-related protein (RQ6560)

  Catalog No Formulation Size Price (USD)  
Image RQ6560 0.5mg/ml if reconstituted with 0.2ml sterile DI water 100 ug 439
Bulk quote request
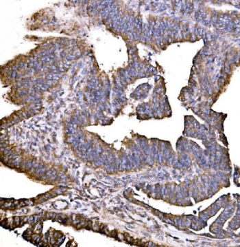
IHC staining of FFPE human rectal cancer tissue with HIP1R antibody. HIER: boil tissue sections in pH8 EDTA for 20 min and allow to cool before testing.
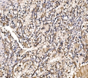
IHC staining of FFPE human lung cancer tissue with HIP1R antibody. HIER: boil tissue sections in pH8 EDTA for 20 min and allow to cool before testing.
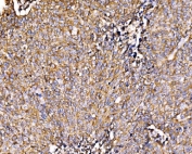
IHC staining of FFPE human liver cancer tissue with HIP1R antibody. HIER: boil tissue sections in pH8 EDTA for 20 min and allow to cool before testing.
IHC staining of FFPE human renal clear cell carcinoma tissue with HIP1R antibody. HIER: boil tissue sections in pH8 EDTA for 20 min and allow to cool before testing.
Immunofluorescent staining of FFPE human MCF7 cells with HIP1R antibody (red) and DAPI nuclear stain (blue). HIER: steam section in pH6 citrate buffer for 20 min.
Western blot testing of 1) human HeLa, 2) human PC-3, 3) monkey COS-7, 4) human T-47D, 5) human Raji, 6) rat brain, 7) rat heart, 8) rat pancreas and 9) mouse pancreas lysate with HIP1R antibody. Predicted molecular weight ~119 kDa.
Availability 1-3 business days
Species Reactivity Human, Mouse, Rat, Monkey
Format Antigen affinity purified
Clonality Polyclonal (rabbit origin)
Isotype Rabbit IgG
Purity Affinity purified
Buffer Lyophilized from 1X PBS with 2% Trehalose
UniProt O75146
Localization Cytoplasmic, perinuclear
Applications Western Blot : 1-2ug/ml
Immunohistochemistry (FFPE) : 2-5ug/ml
Immunofluorescence : 5ug/ml
Flow Cytometry : 1-3ug/million cells
Direct ELISA : 0.1-0.5ug/ml
Limitations This HIP1R antibody is available for research use only.
Review this product on BioCompare and get a $20 Amazon gift card

Description

Huntingtin-interacting protein 1-related protein is a protein that in humans is encoded by the HIP1R gene. Huntingtin-interacting protein 1-related protein, or HIP1R, was identified on the basis of its structural homology with Huntingtin-interacting protein 1, or HIP1. Based on its domain structure, HIP1R is a putative endocytosis-related protein. Knockdown of HIP1R impairs the endocytosis of activated epidermal growth factor receptor (EGFR) and the consequent activation of the downstream ERK and Akt proteins. Additionally, HIP1R is a component of the clathrin-coated pits and vesicles, which in part links the endocytic machinery to the actin cytoskeleton. It binds to 3-phosphoinositides via ENTH domains to promote cell survival by stabilizing receptor tyrosine kinases following ligand-induced endocytosis. HIP1R deficiency significantly reduces the expression of the ionotropic glutamate receptor GluA1, GluN2A, and GluN2B subunits, but not the GABAA receptor ?1 subunit. Knockdown of HIP1R reduces the amplitude and frequency of the miniature excitatory postsynaptic current, but not of the miniature inhibitory postsynaptic curren. HIP1R has been identified as a protein that can target histone deacetylase-3-mediated neurodegeneration, along with other proteins like NPTX1, NFL, TEX10, and TGFFG.

Application Notes

Optimal dilution of the HIP1R antibody should be determined by the researcher.

Immunogen

An E. coli-derived human protein (amino acids E316-E734) was used as the immunogen for the HIP1R antibody.

Storage

After reconstitution, the HIP1R antibody can be stored for up to one month at 4oC. For long-term, aliquot and store at -20oC. Avoid repeated freezing and thawing.

Cross
Bulk Quote Request Form
Name*:
Organization*:
Email*:
Phone Number*:
Catalog No.*:
Comments and Specifics(amount, formulation, etc.)*:
Validation code: Captchapackage Image


Can't read the image? click here to refresh.
    *required field

Your bulk quote request has been submitted successfully!

Please contact us if you have any questions.