• Tel: 858.663.9055
  • SeparatorEmail: info@nsjbio.com
  • Tel: 858.663.9055
  • Email: info@nsjbio.com
Home >> Antibodies >> HIP Antibody / HSC70 Interacting Protein

HIP Antibody / HSC70 Interacting Protein (R31035)

  Catalog No Formulation Size Price (USD)  
Image R31035 0.5mg/ml if reconstituted with 0.2ml sterile DI water 100 ug 439
Bulk quote request
Immunofluorescent staining of FFPE human HeLa cells with HIP antibody (red) and DAPI nuclear stain (blue). HIER: steam section in pH6 citrate buffer for 20 min.
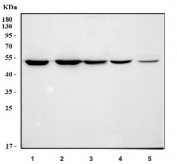
Western blot testing of 1) human HeLa, 2) human 293T, 3) human SK-O-V3, 4) mouse testis and 5) mouse NIH 3T3 cell lysate with HIP antibody. Expected molecular weight: ~48 kDa.
Availability 1-3 business days
Species Reactivity Human, Mouse
Format Antigen affinity purified
Clonality Polyclonal (rabbit origin)
Isotype Rabbit IgG
Purity Antigen affinity
Buffer Lyophilized from 1X PBS with 2% Trehalose
UniProt P50502
Applications Western Blot : 0.5-1ug/ml
Immunofluorescence : 5ug/ml
Limitations This HIP antibody is available for research use only.
Review this product on BioCompare and get a $20 Amazon gift card

Description

Suppression of Tumorigenicity 13, also known as p48 or HIP, is a protein that in humans is encoded by the ST13 gene. ST13 is an abundant, highly conserved protein that binds the major cytosolic chaperones heat-shock protein 70-kD (HSP70) and HSP90 during an intermediate stage of steroid receptor assembly, but is absent from the mature receptor complex. Zhang et al.(1998) mapped the gene to chromosome 22q13 by fluorescence in situ hybridization. They noted that colorectal, breast, and ovarian carcinomas frequently show loss of heterozygosity at this site. Using a yeast 2-hybrid assay, Hohfeld et al.(1995) showed that rat HIP bound Hsc70(HSPA8). One oligomer bound the ATPase domains of at least two Hsc70 molecules, and binding was dependent on activation of the Hsc70 ATPase by Hsp40(DNAJB1). HIP stabilized the ADP-bound form of Hsc70, which had a high affinity for a test protein substrate. Hohfeld et al.(1995) concluded that the protein contributes to interactions of HSC70 with target proteins through its own chaperone activity.

Application Notes

The stated application concentrations are suggested starting amounts. Titration of the HIP antibody may be required due to differences in protocols and secondary/substrate sensitivity.

Immunogen

An amino acid sequence from the N-terminus of human Hsc70 Interacting Protein (MDPRKVNELRAFVKMCKQD) was used as the immunogen for this HIP antibody.

Storage

After reconstitution, the HIP antibody can be stored for up to one month at 4oC. For long-term, aliquot and store at -20oC. Avoid repeated freezing and thawing.

Cross
Bulk Quote Request Form
Name*:
Organization*:
Email*:
Phone Number*:
Catalog No.*:
Comments and Specifics(amount, formulation, etc.)*:
Validation code: Captchapackage Image


Can't read the image? click here to refresh.
    *required field

Your bulk quote request has been submitted successfully!

Please contact us if you have any questions.