• Tel: 858.663.9055
  • SeparatorEmail: info@nsjbio.com
  • Tel: 858.663.9055
  • Email: info@nsjbio.com
Home >> Antibodies >> HINT1 Antibody

HINT1 Antibody (R32118)

  Catalog No Formulation Size Price (USD)  
Image R32118 0.5mg/ml if reconstituted with 0.2ml sterile DI water 100 ug 439
Bulk quote request
Immunofluorescent staining of FFPE human A431 cells with HINT1 antibody (green) and DAPI nuclear stain (blue). HIER: steam section in pH6 citrate buffer for 20 min.
IHC testing of FFPE human intestinal cancer tissue with HINT1 antibody. HIER: Boil the paraffin sections in pH 6, 10mM citrate buffer for 20 minutes and allow to cool prior to staining.
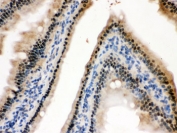
IHC testing of FFPE mouse intestine with HINT1 antibody. HIER: Boil the paraffin sections in pH 6, 10mM citrate buffer for 20 minutes and allow to cool prior to staining.
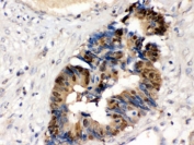
IHC testing of FFPE rat kidney with HINT1 antibody. HIER: Boil the paraffin sections in pH 6, 10mM citrate buffer for 20 minutes and allow to cool prior to staining.
Western blot testing of 1) human 293T, 2) human Jurkat, 3) human Raji, 4) human HeLa, 5) rat brain, 6) rat thymus, 7) mouse brain and 8) mouse thymus tissue lysate with HINT1 antibody. Expected molecular weight ~14 kDa.
Flow cytometry testing of human A549 cells with HINT1 antibody at 1ug/million cells (blocked with goat sera); Red=cells alone, Green=isotype control, Blue= HINT1 antibody.
Availability 1-3 business days
Species Reactivity Human, Mouse, Rat
Format Antigen affinity purified
Clonality Polyclonal (rabbit origin)
Isotype Rabbit IgG
Purity Antigen affinity
Buffer Lyophilized from 1X PBS with 2% Trehalose
UniProt P49773
Localization Cytoplasmic, nuclear
Applications Western Blot : 0.1-0.5ug/ml
Immunohistochemistry (FFPE) : 0.5-1ug/ml
Immunofluorescence (FFPE) : 2-4ug/ml
Flow Cytometry : 1-3ug/million cells
Limitations This HINT1 antibody is available for research use only.
Review this product on BioCompare and get a $20 Amazon gift card

Related Products

Description

Histidine triad nucleotide-binding protein 1 is a protein that in humans is encoded by the HINT1 gene. It is a haploinsufficient tumor suppressor gene that inhibits the Wnt/b-catenin pathway in colon cancer cells and Microphthalmia-associated transcription factor (MITF) activity in human mast cells. The protein encoded by this gene can hydrolyze substrates such as AMP-morpholidate, AMP-N-alanine methyl ester, AMP-alpha-acetyl lysine methyl ester, and AMP-NH2. The encoded protein interacts with these substrates via a histidine triad motif, which is part of the loop that binds to the substrate. Several transcript variants, but only one of them protein-coding, have been found for this gene.

Application Notes

Optimal dilution of the HINT1 antibody should be determined by the researcher.

Immunogen

Amino acids HISQISVAEDDDESLLGHLMIVGKKCAADLGLNK of human HINT1 were used as the immunogen for the HINT1 antibody.

Storage

After reconstitution, the HINT1 antibody can be stored for up to one month at 4oC. For long-term, aliquot and store at -20oC. Avoid repeated freezing and thawing.

Cross
Bulk Quote Request Form
Name*:
Organization*:
Email*:
Phone Number*:
Catalog No.*:
Comments and Specifics(amount, formulation, etc.)*:
Validation code: Captchapackage Image


Can't read the image? click here to refresh.
    *required field

Your bulk quote request has been submitted successfully!

Please contact us if you have any questions.