• Tel: 858.663.9055
  • SeparatorEmail: info@nsjbio.com
  • Tel: 858.663.9055
  • Email: info@nsjbio.com
Home >> Antibodies >> HIF-1 alpha Antibody

HIF-1 alpha Antibody (R31666)

  Catalog No Formulation Size Price (USD)  
Image R31666 0.5mg/ml if reconstituted with 0.2ml sterile DI water 100 ug 439
Bulk quote request
Western blot testing of HIF-1 alpha antibody and Lane 1: human HeLa; 2: human SHG-44; 3: mouse HEPA1-6; Routinely observed molecular weight: 100~120 kDa.
Western blot testing of HIF-1 alpha antibody and recombinant human protein (0.5ng)
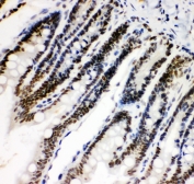
IHC-P: HIF-1 alpha antibody testing of mouse intestine tissue
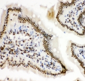
IHC-P: HIF-1 alpha antibody testing of rat intestine tissue
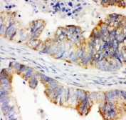
IHC-P: HIF-1 alpha antibody testing of human intestinal cancer tissue
Availability 1-3 business days
Species Reactivity Human, Mouse, Rat
Format Antigen affinity purified
Clonality Polyclonal (rabbit origin)
Isotype Rabbit IgG
Purity Antigen affinity
Buffer Lyophilized from 1X PBS with 2.5% BSA and 0.025% sodium azide
Gene ID 3091
Localization Nuclear, possible cytoplasmic
Applications Western Blot : 0.5-1ug/ml
IHC (FFPE) : 0.5-1ug/ml
Limitations This HIF-1 alpha antibody is available for research use only.
Review this product on BioCompare and get a $20 Amazon gift card

Related Products

Description

Hypoxia-inducible factor 1a (HIF-1 alpha) is a transcription factor that mediates cellular and systemic homeostatic responses to reduced O2 availability in mammals, including angiogenesis, erythropoiesis and glycolysis. It is crucial for the cellular response to hypoxia and plays a pivotal role in cellular adaptation to changes in oxygen availability.

Application Notes

Titration of the HIF-1 alpha antibody may be required due to differences in protocols and secondary/substrate sensitivity.

Immunogen

Amino acids 703-732 (EEELNPKILALQNAQRKRKMEHDGSLFQAV-human) were used as the immunogen for this HIF-1 alpha antibody.

Storage

The lyophilized HIF-1 alpha antibody can be stored at 4oC. After reconstitution, aliquot and store at -20oC. Avoid repeated freezing and thawing.

Cross
Bulk Quote Request Form
Name*:
Organization*:
Email*:
Phone Number*:
Catalog No.*:
Comments and Specifics(amount, formulation, etc.)*:
Validation code: Captchapackage Image


Can't read the image? click here to refresh.
    *required field

Your bulk quote request has been submitted successfully!

Please contact us if you have any questions.