• Tel: 858.663.9055
  • SeparatorEmail: info@nsjbio.com
  • Tel: 858.663.9055
  • Email: info@nsjbio.com
Home >> Antibodies >> HGS Antibody / HRS / HGF-regulated tyrosine kinase substrate

HGS Antibody / HRS / HGF-regulated tyrosine kinase substrate (RQ5980)

  Catalog No Formulation Size Price (USD)  
Image RQ5980 0.5mg/ml if reconstituted with 0.2ml sterile DI water 100 ug 439
Bulk quote request
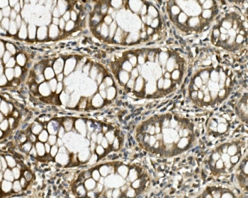
IHC staining of FFPE human rectal cancer with HGS antibody. HIER: boil tissue sections in pH8 EDTA for 20 min and allow to cool before testing.
IHC staining of FFPE human rectal cancer with HGS antibody. HIER: boil tissue sections in pH8 EDTA for 20 min and allow to cool before testing.
IHC staining of FFPE human testicular cancer with HGS antibody. HIER: boil tissue sections in pH8 EDTA for 20 min and allow to cool before testing.
Immunofluorescent staining of FFPE human HeLa cells with HGS antibody (green) and DAPI nuclear stain (blue). HIER: steam section in pH6 citrate buffer for 20 min.
Western blot testing of 1) rat brain, 2) rat PC-12, 3) rat NRK, 4) mouse brain, 5) mouse HEPA1-6, 6) mouse NIH 3T3 and 7) mouse RAW264.7 lysate with HGS antibody. Predicted molecular weight ~86 kDa, commonly observed at 110-115 kDa.
Flow cytometry testing of human A549 cells with HGS antibody at 1ug/million cells (blocked with goat sera); Red=cells alone, Green=isotype control, Blue= HGS antibody.
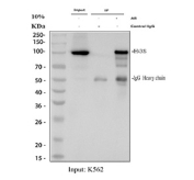
Immunoprecipitation of HGS protein from 500ug of human K562 whole cell lysate with 2ug of HGS antibody.
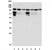
Western blot testing of human 1) HeLa, 2) HEK293, 3) K562, 4) SK-O-V3, 5) PC-3, 6) A549 and 7) HepG2 cell lysate with HGS antibody. Predicted molecular weight ~86 kDa, commonly observed at 110-115 kDa.
Availability 1-3 business days
Species Reactivity Human, Mouse, Rat
Format Antigen affinity purified
Clonality Polyclonal (rabbit origin)
Isotype Rabbit IgG
Purity Affinity purified
Buffer Lyophilized from 1X PBS with 2% Trehalose and 0.025% sodium azide
UniProt O14964
Localization Cytoplasm
Applications Western Blot : 0.5-1ug/ml
Immunohistochemistry : 1-2ug/ml
Immunofluorescence : 2-4ug/ml
Flow Cytometry : 1-3ug/million cells
Direct ELISA : 0.1-0.5ug/ml
Immunoprecipitation : 2ug per 500ug of lysate
Limitations This HGS antibody is available for research use only.
Review this product on BioCompare and get a $20 Amazon gift card

Related Products

Description

HRS (HGS, HGF-regulated tyrosine kinase substrate) is an endosomal protein that plays a critical role in vesicular trafficking and receptor downregulation. It is a key component of the ESCRT-0 complex, which mediates the sorting of ubiquitinated membrane proteins into multivesicular bodies for lysosomal degradation.

HRS regulates signaling pathways by controlling receptor turnover, including those for growth factors and cytokines. It is also involved in endosome maturation, membrane dynamics, and intracellular signaling. Dysregulation of HRS has been linked to cancer progression, immune regulation defects, and neurodegenerative disorders.

Using a high-quality HRS antibody enables sensitive detection in applications such as western blot, immunohistochemistry, and immunoprecipitation. An HRS antibody from NSJ Bioreagents ensures reproducibility and specificity for studies of vesicular transport, receptor signaling, and disease mechanisms. Selecting the right HRS antibody is crucial for generating consistent and accurate results.

Application Notes

Optimal dilution of the HGS antibody should be determined by the researcher.

Immunogen

Recombinant human protein (amino acids R3-D777) was used as the immunogen for the HGS antibody.

Storage

After reconstitution, the HGS antibody can be stored for up to one month at 4oC. For long-term, aliquot and store at -20oC. Avoid repeated freezing and thawing.

Cross
Bulk Quote Request Form
Name*:
Organization*:
Email*:
Phone Number*:
Catalog No.*:
Comments and Specifics(amount, formulation, etc.)*:
Validation code: Captchapackage Image


Can't read the image? click here to refresh.
    *required field

Your bulk quote request has been submitted successfully!

Please contact us if you have any questions.