• Tel: 858.663.9055
  • SeparatorEmail: info@nsjbio.com
  • Tel: 858.663.9055
  • Email: info@nsjbio.com
Home >> Antibodies >> HGF-regulated tyrosine kinase substrate Antibody / HRS / HGS

HGF-regulated tyrosine kinase substrate Antibody / HRS / HGS [clone 4B7E2] (RQ6925)

  Catalog No Formulation Size Price (USD)  
Image RQ6925 0.5mg/ml if reconstituted with 0.2ml sterile DI water 100 ug 439
Bulk quote request
Immunofluorescent staining of FFPE human U-87 MG cells with HGF-regulated tyrosine kinase substrate antibody (green) and DAPI nuclear stain (blue). HIER: steam section in pH6 citrate buffer for 20 min.
IHC staining of FFPE human endometrial cancer tissue with HGF-regulated tyrosine kinase substrate antibody. HIER: boil tissue sections in pH8 EDTA for 20 min and allow to cool before testing.
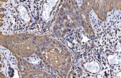
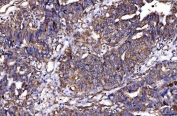
IHC staining of FFPE human laryngeal squamous cell carcinoma tissue with HGF-regulated tyrosine kinase substrate antibody. HIER: boil tissue sections in pH8 EDTA for 20 min and allow to cool before testing.
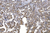
IHC staining of FFPE human ovarian cancer tissue with HGF-regulated tyrosine kinase substrate antibody. HIER: boil tissue sections in pH8 EDTA for 20 min and allow to cool before testing.
IHC staining of FFPE human bladder epithelial carcinoma tissue with HGF-regulated tyrosine kinase substrate antibody. HIER: boil tissue sections in pH8 EDTA for 20 min and allow to cool before testing.
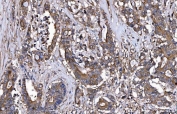
IHC staining of FFPE human breast infiltrating ductal carcinoma tissue with HGF-regulated tyrosine kinase substrate antibody. HIER: boil tissue sections in pH8 EDTA for 20 min and allow to cool before testing.
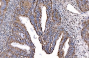
IHC staining of FFPE human colorectal adenocarcinoma tissue with HGF-regulated tyrosine kinase substrate antibody. HIER: boil tissue sections in pH8 EDTA for 20 min and allow to cool before testing.
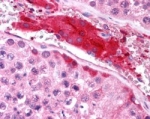
IHC staining of FFPE mouse kidney tissue with HGF-regulated tyrosine kinase substrate antibody. HIER: boil tissue sections in pH8 EDTA for 20 min and allow to cool before testing.
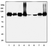
Western blot testing of 1) human HeLa, 2) human 293T, 3) human K562, 4) human SK-O-V3, 5) rat brain, 6) rat PC-12, 7) mouse brain and 8) mouse NIH 3T3 cell lysate with HGF-regulated tyrosine kinase substrate antibody. Predicted molecular weight ~86 kDa, commonly observed at 110-115 kDa.
Flow cytometry testing of human Caco-2 cells with HGF-regulated tyrosine kinase substrate antibody at 1ug/million cells (blocked with goat sera); Red=cells alone, Green=isotype control, Blue= HGF-regulated tyrosine kinase substrate antibody.
Availability 1-3 business days
Species Reactivity Human, Mouse, Rat
Format Antigen affinity purified
Clonality Monoclonal (mouse origin)
Isotype Mouse IgG2a
Clone Name 4B7E2
Purity Antigen affinity purified
Buffer Lyophilized from 1X PBS with 2% Trehalose
UniProt O14964
Applications Western Blot : 0.5-1 ug/ml
Immunohistochemistry (FFPE) : 2-5ug/ml
Immunofluorescence : 5ug/ml
Flow Cytometry : 1-3ug/million cells
Limitations This HGF-regulated tyrosine kinase substrate antibody is available for research use only.
Review this product on BioCompare and get a $20 Amazon gift card

Related Products

Description

Hepatocyte growth factor-regulated tyrosine kinase substrate is an enzyme that in humans is encoded by the HGS gene. It is mapped to 17q25.3. The protein encoded by this gene regulates endosomal sorting and plays a critical role in the recycling and degradation of membrane receptors. The encoded protein sorts monoubiquitinated membrane proteins into the multivesicular body, targeting these proteins for lysosome-dependent degradation.

Application Notes

Optimal dilution of the HGF-regulated tyrosine kinase substrate antibody should be determined by the researcher.

Immunogen

Recombinant human HGS protein (amino acids R3-D777) was used as the immunogen for the HGF-regulated tyrosine kinase substrate antibody.

Storage

After reconstitution, the HGF-regulated tyrosine kinase substrate antibody can be stored for up to one month at 4oC. For long-term, aliquot and store at -20oC. Avoid repeated freezing and thawing.

Cross
Bulk Quote Request Form
Name*:
Organization*:
Email*:
Phone Number*:
Catalog No.*:
Comments and Specifics(amount, formulation, etc.)*:
Validation code: Captchapackage Image


Can't read the image? click here to refresh.
    *required field

Your bulk quote request has been submitted successfully!

Please contact us if you have any questions.