• Tel: 858.663.9055
  • SeparatorEmail: info@nsjbio.com
  • Tel: 858.663.9055
  • Email: info@nsjbio.com
Home >> Antibodies >> HGD Antibody / Homogentisate 1,2-dioxygenase

HGD Antibody / Homogentisate 1,2-dioxygenase (RQ4413)

  Catalog No Formulation Size Price (USD)  
Image RQ4413 0.5mg/ml if reconstituted with 0.2ml sterile DI water 100 ug 439
Bulk quote request
Western blot testing of 1) human HepG2, 2) human A549, 3) rat liver, 4) rat kidney, 5) mouse liver and 6) mouse kidney tissue with HGD antibody at 0.5ug/ml. Predicted molecular weight ~50 kDa.
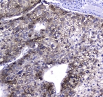
IHC testing of FFPE human liver cancer tissue with HGD antibody at 1ug/ml. Required HIER: steam section in pH6 citrate buffer for 20 min and allow to cool prior to staining.
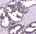
IHC testing of FFPE human prostate cancer tissue with HGD antibody at 1ug/ml. Required HIER: steam section in pH6 citrate buffer for 20 min and allow to cool prior to staining.
Availability 1-3 business days
Species Reactivity Human, Mouse, Rat
Format Antigen affinity purified
Clonality Polyclonal (rabbit origin)
Isotype Rabbit IgG
Purity Antigen affinity purified
Buffer Lyophilized from 1X PBS with 2% Trehalose and 0.025% sodium azide
UniProt Q93099
Localization Cytoplasmic
Applications Western Blot : 0.5-1ug/ml
IHC (FFPE) : 1-2ug/ml
Direct ELISA : 0.1-0.5ug/ml (recombinant human protein) (BSA-free format available)
Limitations This HGD antibody is available for research use only.
Review this product on BioCompare and get a $20 Amazon gift card

Related Products

Description

The HGD gene encodes homogentisate 1,2-dioxygenase, an enzyme involved in the catabolism of phenylalanine and tyrosine. This enzyme is involved in the catabolism of the amino acids tyrosine and phenylalanine. Mutations in this gene are the cause of the autosomal recessive metabolism disorder alkaptonuria. This gene is mapped to chromosome 3q21-q23 by a preliminary PCR screen of hamster/human somatic cell hybrid genomic DNA samples and by fluorescence in situ hybridization.

Application Notes

Optimal dilution of the HGD antibody should be determined by the researcher.

Immunogen

A human partial recombinant protein corresponding to amino acids D374-N445 was used as the immunogen for the HGD antibody.

Storage

After reconstitution, the HGD antibody can be stored for up to one month at 4oC. For long-term, aliquot and store at -20oC. Avoid repeated freezing and thawing.

Cross
Bulk Quote Request Form
Name*:
Organization*:
Email*:
Phone Number*:
Catalog No.*:
Comments and Specifics(amount, formulation, etc.)*:
Validation code: Captchapackage Image


Can't read the image? click here to refresh.
    *required field

Your bulk quote request has been submitted successfully!

Please contact us if you have any questions.