• Tel: 858.663.9055
  • SeparatorEmail: info@nsjbio.com
  • Tel: 858.663.9055
  • Email: info@nsjbio.com
Home >> Antibodies >> HFH-4 Antibody / FOXJ1

HFH-4 Antibody / FOXJ1 (RQ6422)

  Catalog No Formulation Size Price (USD)  
Image RQ6422 0.5mg/ml if reconstituted with 0.2ml sterile DI water 100 ug 439
Bulk quote request
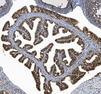
IHC staining of FFPE rat ovary tissue with HFH-4 antibody. HIER: boil tissue sections in pH8 EDTA for 20 min and allow to cool before testing.
Immunofluorescent staining of FFPE human Caco-2 cells with HFH-4 antibody (green) and DAPI nuclear stain (blue). HIER: steam section in pH6 citrate buffer for 20 min.
Western blot testing of 1) human SW579, 2) human SK-O-V3 and 3) rat PC-12 cell lysate with HFH-4 antibody. Predicted molecular weight ~55 kDa.
Flow cytometry testing of human HepG2 cells with HFH-4 antibody at 1ug/million cells (blocked with goat sera); Red=cells alone, Green=isotype control, Blue= HFH-4 antibody.
Availability 1-3 business days
Species Reactivity Human, Rat
Format Purified
Clonality Polyclonal (rabbit origin)
Isotype Rabbit IgG
Purity Antigen affinity purified
Buffer Lyophilized from 1X PBS with 2% Trehalose
UniProt Q92949
Localization Nuclear
Applications Western Blot : 0.5-1ug/ml
Immunohistochemistry (FFPE) : 2-5ug/ml
Immunofluorescence (FFPE) : 5ug/ml
Flow Cytometry : 1-3ug/million cells
Direct ELISA : 0.1-0.5ug/ml
Limitations This HFH-4 antibody is available for research use only.
Review this product on BioCompare and get a $20 Amazon gift card

Description

Forkhead box protein J1, also called Hepatocyte nuclear factor 3 forkhead homolog 4 or HFH-4, is a protein that in humans is encoded by the FOXJ1 gene. This gene encodes a member of the forkhead family of transcription factors. Similar genes in zebrafish and mouse have been shown to regulate the transcription of genes that control the production of motile cilia. The mouse ortholog also functions in the determination of left-right asymmetry. Polymorphisms in this gene are associated with systemic lupus erythematosus and allergic rhinitis.

Application Notes

Optimal dilution of the HFH-4 antibody should be determined by the researcher.

Immunogen

Recombinant human protein (amino acids D27-A405) was used as the immunogen for the HFH-4 antibody.

Storage

After reconstitution, the HFH-4 antibody can be stored for up to one month at 4oC. For long-term, aliquot and store at -20oC. Avoid repeated freezing and thawing.

Cross
Bulk Quote Request Form
Name*:
Organization*:
Email*:
Phone Number*:
Catalog No.*:
Comments and Specifics(amount, formulation, etc.)*:
Validation code: Captchapackage Image


Can't read the image? click here to refresh.
    *required field

Your bulk quote request has been submitted successfully!

Please contact us if you have any questions.