• Tel: 858.663.9055
  • SeparatorEmail: info@nsjbio.com
  • Tel: 858.663.9055
  • Email: info@nsjbio.com
Home >> Antibodies >> Hexosaminidase B Antibody / HEXB

Hexosaminidase B Antibody / HEXB [clone HEXB/7762] (V5089)

  Catalog No Formulation Size Price (USD)  
Image V5089-100UG 0.2 mg/ml in 1X PBS with 0.1 mg/ml BSA (US sourced), 0.05% sodium azide 100 ug 539
Image
V5089-20UG 0.2 mg/ml in 1X PBS with 0.1 mg/ml BSA (US sourced), 0.05% sodium azide 20 ug 249
Image
V5089SAF-100UG 1 mg/ml in 1X PBS; BSA free, sodium azide free 100 ug 539
Bulk quote request
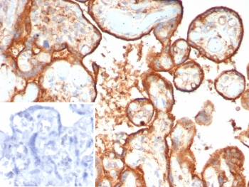
IHC staining of FFPE human placental tissue with Hexosaminidase B antibody (clone HEXB/7762). Inset: PBS used in place of primary Ab (secondary Ab negative control). HIER: boil tissue sections in pH 9 10mM Tris with 1mM EDTA for 20 min and allow to cool before testing.
SDS-PAGE analysis of purified, BSA-free Hexosaminidase B antibody (clone HEXB/7762) as confirmation of integrity and purity.
Availability 1-3 business days
Species Reactivity Human
Format Purified
Clonality Monoclonal (mouse origin)
Isotype Mouse IgG2, kappa
Clone Name HEXB/7762
Purity Protein A/G affinity
UniProt P07686
Localization Lysosome
Applications Immunohistochemistry (FFPE) : 1-2ug/ml for 30 min at RT
Limitations This Hexosaminidase B antibody is available for research use only.
Review this product on BioCompare and get a $20 Amazon gift card

Related Products

Description

Hexosaminidase B (HEXB), also designated beta-hexosaminidase B, is a hexosaminidase B (HEXB), also designated beta-hexosaminidase B, is a tetramer of two beta-A and two beta-B chains and is found in the lysosomes of cells. Sandhoff disease (SD), also known as GM2-gangliosidosis type II, is caused by mutations in the HEXB gene that affect the beta subunit. These mutations disrupt the activity of HEXB and HEXA, which prevents the breakdown of GM2 ganglioside, a fatty material found in the brain, therby rendering both the HEXA and HEXB enzymes deficient. SD is a rare autosomal recessive disorder characterized by an accumulation of GM2 ganglioside, which causes progressive destruction of the central nervous system. Sandhoff disease is similar to Tay-Sachs disease, which is caused by mutations in the HEXA gene, although SD is more severe.

Application Notes

Optimal dilution of the Hexosaminidase B antibody should be determined by the researcher.

Immunogen

A recombinant fragment of the human protein was used as the immunogen for the Hexosaminidase B antibody.

Storage

Aliquot the Hexosaminidase B antibody and store frozen at -20oC or colder. Avoid repeated freeze-thaw cycles.

Cross
Bulk Quote Request Form
Name*:
Organization*:
Email*:
Phone Number*:
Catalog No.*:
Comments and Specifics(amount, formulation, etc.)*:
Validation code: Captchapackage Image


Can't read the image? click here to refresh.
    *required field

Your bulk quote request has been submitted successfully!

Please contact us if you have any questions.