• Tel: 858.663.9055
  • SeparatorEmail: info@nsjbio.com
  • Tel: 858.663.9055
  • Email: info@nsjbio.com
Home >> Antibodies >> Hexosaminidase A Antibody / HEXA

Hexosaminidase A Antibody / HEXA (RQ6641)

  Catalog No Formulation Size Price (USD)  
Image RQ6641 0.5mg/ml if reconstituted with 0.2ml sterile DI water 100 ug 439
Bulk quote request
Immunofluorescent staining of FFPE human U-2 OS cells with Hexosaminidase A antibody (green) and DAPI nuclear stain (blue). HIER: steam section in pH6 citrate buffer for 20 min.
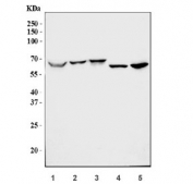
Western blot testing of 1) human 293T, 2) human Caco-2, 3) human HeLa, 4) rat kidney and 5) mouse kidney tissue lysate with Hexosaminidase A antibody. Expected molecular weight: ~60 kDa (precursor), ~54 kDa (mature).
Availability 1-3 business days
Species Reactivity Human, Mouse, Rat
Format Antigen affinity purified
Clonality Polyclonal (rabbit origin)
Isotype Rabbit IgG
Purity Antigen affinity purified
Buffer Lyophilized from 1X PBS with 2% Trehalose
UniProt P06865
Localization Cytoplasmic
Applications Western Blot : 1-2ug/ml
Immunofluorescence (FFPE) : 5ug/ml
Direct ELISA : 0.1-0.5ug/ml
Limitations This Hexosaminidase A antibody is available for research use only.
Review this product on BioCompare and get a $20 Amazon gift card

Related Products

Description

HEXA, hexosaminidase A (alpha polypeptide), is an enzyme that in humans is encoded by the HEXA gene. Hexosaminidase A and the cofactor GM2 activator protein catalyze the degradation of the GM2 gangliosides and other molecules containing terminal N-acetyl hexosamines. The HEXA gene encodes the alpha subunit of hexosaminidase A , a lysosomal enzyme involved in the breakdown of gangliosides. The HEXA gene is mapped on 15q23. Even though the alpha and beta subunits of hexosaminidase A can both cleave GalNAc residues, only the alpha subunit is able to hydrolyze GM2 gangliosides. The alpha subunit contains a key residue, Arg-424, which is essential for binding the N-acetyl-neuramanic residue of GM2 gangliosides. Chimeric constructs were expressed in HeLa cells and selected constructs were produced in the baculovirus expression system to determine their ability to degrade GM2 ganglioside in the presence of GM2 activator protein. Their results allowed them to define 2 noncontiguous sequences in the alpha subunit (amino acids 1-191 and 403-529) which, when substituted into analogous positions in the beta subunit, conferred activity against the sulfated substrate.

Application Notes

Optimal dilution of the Hexosaminidase A antibody should be determined by the researcher.

Immunogen

Recombinant human protein (amino acids A135-H179) was used as the immunogen for the Hexosaminidase A antibody.

Storage

After reconstitution, the Hexosaminidase A antibody can be stored for up to one month at 4oC. For long-term, aliquot and store at -20oC. Avoid repeated freezing and thawing.

Cross
Bulk Quote Request Form
Name*:
Organization*:
Email*:
Phone Number*:
Catalog No.*:
Comments and Specifics(amount, formulation, etc.)*:
Validation code: Captchapackage Image


Can't read the image? click here to refresh.
    *required field

Your bulk quote request has been submitted successfully!

Please contact us if you have any questions.