• Tel: 858.663.9055
  • SeparatorEmail: info@nsjbio.com
  • Tel: 858.663.9055
  • Email: info@nsjbio.com
Home >> Antibodies >> Hephaestin Antibody / HEPH

Hephaestin Antibody / HEPH (RQ8927)

  Catalog No Formulation Size Price (USD)  
Image RQ8927 0.5mg/ml if reconstituted with 0.2ml sterile DI water 100 ug 439
Bulk quote request
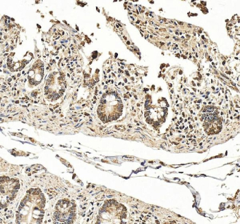
IHC staining of FFPE human small intestine tissue with Hephaestin antibody, HRP-secondary and DAB substrate. HIER: boil tissue sections in pH8 EDTA for 20 min and allow to cool before testing.
Western blot testing of 1) rat C6 and 2) mouse NIH 3T3 cell lysate with Hephaestin antibody. Predicted molecular weight ~130 kDa.
Flow cytometry testing of fixed and permeabilized mouse EL4 cells with Hephaestin antibody at 1ug/million cells (blocked with goat sera); Red=cells alone, Green=isotype control, Blue= Hephaestin antibody.
Availability 1-2 business days
Species Reactivity Human, Mouse, Rat
Format Antigen affinity purified
Clonality Polyclonal (rabbit origin)
Isotype Rabbit IgG
Purity Antigen affinity purified
Buffer Lyophilized from 1X PBS with 2% Trehalose
UniProt Q9BQS7
Applications Western Blot : 1-2ug/ml
Immunohistochemistry (FFPE) : 2-5ug/ml
Flow Cytometry : 1-3ug/million cells
ELISA : 0.1-0.5ug/ml
Limitations This Hephaestin antibody is available for research use only.
Review this product on BioCompare and get a $20 Amazon gift card

Description

Hephaestin (HEPH) is a multicopper ferroxidase that plays a critical role in systemic iron homeostasis. It is primarily expressed in intestinal enterocytes, where it facilitates the export of dietary iron into the bloodstream. Hephaestin functions by oxidizing ferrous iron (Fe2+) to ferric iron (Fe3+), a form that can be bound by transferrin for transport throughout the body. Researchers often use a Hephaestin antibody to study iron metabolism, absorption, and related disorders.

The activity of Hephaestin is closely linked to ferroportin, the only known iron exporter in mammals. By converting Fe2+ to Fe3+, Hephaestin stabilizes iron export and prevents the accumulation of reactive iron species that could cause oxidative stress. Employing a Hephaestin antibody allows scientists to investigate how this protein cooperates with ferroportin and other regulators of iron homeostasis, such as hepcidin and ceruloplasmin.

Mutations in the HEPH gene are associated with iron transport defects and conditions such as anemia and iron overload. Animal models with disrupted Hephaestin function exhibit impaired dietary iron absorption, underscoring its physiological importance. Beyond its intestinal role, Hephaestin has also been detected in other tissues, including the brain and retina, where it may influence neuronal iron balance and oxidative stress responses. Using a Hephaestin antibody supports research into both systemic and tissue-specific aspects of iron regulation.

NSJ Bioreagents provides a high-quality Hephaestin antibody validated for applications such as western blot, immunohistochemistry, and immunofluorescence. Choosing a Hephaestin antibody from NSJ Bioreagents ensures reliable performance and reproducibility in studies of iron transport, metabolism, and disease.

Application Notes

Optimal dilution of the Hephaestin antibody should be determined by the researcher.

Immunogen

A human recombinant partial protein (amino acids E348-Q1157) was used as the immunogen for the Hephaestin antibody.

Storage

After reconstitution, the Hephaestin antibody can be stored for up to one month at 4oC. For long-term, aliquot and store at -20oC. Avoid repeated freezing and thawing.

Cross
Bulk Quote Request Form
Name*:
Organization*:
Email*:
Phone Number*:
Catalog No.*:
Comments and Specifics(amount, formulation, etc.)*:
Validation code: Captchapackage Image


Can't read the image? click here to refresh.
    *required field

Your bulk quote request has been submitted successfully!

Please contact us if you have any questions.