• Tel: 858.663.9055
  • SeparatorEmail: info@nsjbio.com
  • Tel: 858.663.9055
  • Email: info@nsjbio.com
Home >> Antibodies >> Hemoglobin Antibody (Subunit alpha)

Hemoglobin Antibody (Subunit alpha) (R32748)

  Catalog No Formulation Size Price (USD)  
Image R32748 0.5mg/ml if reconstituted with 0.2ml sterile DI water 100 ug 439
Bulk quote request
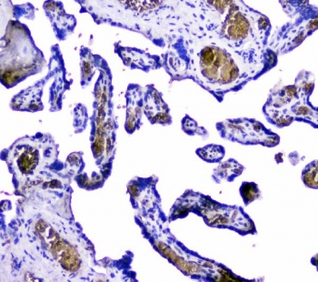
IHC testing of FFPE human placental tissue with Hemoglobin antibody. Required HIER: steam section in pH8 EDTA buffer for 20 min and allow to cool prior to testing.
IHC testing of FFPE human tonsil tissue with Hemoglobin antibody. Required HIER: steam section in pH8 EDTA buffer for 20 min and allow to cool prior to testing.
Western blot testing of human placental tissue lysate with Hemoglobin antibody. Predicted molecular weight ~15 kDa.
Flow cytometry testing of fixed and permeabilized human K562 cells with Hemoglobin antibody at 1ug/million cells (blocked with goat sera); Red=cells alone, Green=isotype control, Blue= Hemoglobin antibody.
Availability 1-3 business days
Species Reactivity Human
Format Antigen affinity purified
Clonality Polyclonal (rabbit origin)
Isotype Rabbit IgG
Purity Antigen affinity
Buffer Lyophilized from 1X PBS with 2% Trehalose
UniProt P69905
Applications Western Blot : 0.5-1ug/ml
Immunohistochemistry (FFPE) : 2-5ug/ml
Flow Cytometry : 1-3ug/million cells
Limitations This Hemoglobin antibody is available for research use only.
Review this product on BioCompare and get a $20 Amazon gift card

Related Products

Description

The human alpha globin gene cluster located on chromosome 16 spans about 30 kb and includes seven loci: 5'- zeta - pseudozeta - mu - pseudoalpha-1 - alpha-2 - alpha-1 - theta - 3'. The alpha-2 (HBA2) and alpha-1 (HBA1) coding sequences are identical. These genes differ slightly over the 5' untranslated regions and the introns, but they differ significantly over the 3' untranslated regions. Two alpha chains plus two beta chains constitute HbA, which in normal adult life comprises about 97% of the total hemoglobin; alpha chains combine with delta chains to constitute HbA-2, which with HbF (fetal hemoglobin) makes up the remaining 3% of adult hemoglobin. Alpha thalassemias result from deletions of each of the alpha genes as well as deletions of both HBA2 and HBA1; some non-deletion alpha thalassemias have also been reported.

Application Notes

Optimal dilution of the Hemoglobin antibody should be determined by the researcher.

Immunogen

Amino acids V2-R142 from the human alpha subunit were used as the immunogen for the Hemoglobin antibody.

Storage

After reconstitution, the Hemoglobin antibody can be stored for up to one month at 4oC. For long-term, aliquot and store at -20oC. Avoid repeated freezing and thawing.

Cross
Bulk Quote Request Form
Name*:
Organization*:
Email*:
Phone Number*:
Catalog No.*:
Comments and Specifics(amount, formulation, etc.)*:
Validation code: Captchapackage Image


Can't read the image? click here to refresh.
    *required field

Your bulk quote request has been submitted successfully!

Please contact us if you have any questions.