• Tel: 858.663.9055
  • SeparatorEmail: info@nsjbio.com
  • Tel: 858.663.9055
  • Email: info@nsjbio.com
Home >> Antibodies >> HDAC9 Antibody

HDAC9 Antibody (F41193)

  Catalog No Formulation Size Price (USD)  
Image F41193-0.4ML In 1X PBS, pH 7.4, with 0.09% sodium azide 0.4 ml 429
Image
F41193-0.08ML In 1X PBS, pH 7.4, with 0.09% sodium azide 0.08 ml 199
Bulk quote request
HDAC9 antibody NSJ# F41192 and NSJ# F41193 were tested by WB and IP-WB using HeLa and HeLa-HDAC9 transfected cells. Both antibodies detect the protein in transfected cells but not non-transfected.
HDAC9 antibody NSJ# F41192 and NSJ# F41193 can both immunoprecipitate the protein from HeLa-HDAC9 tranfected cells. (Data kindly provided by Dr. Zhigang Yuan, H. Lee Moffitt Cancer Center and Research Institute)
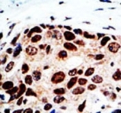
IHC analysis of FFPE human breast cancer tissue stained with the HDAC9 antibody
Availability 1-3 business days
Species Reactivity Human
Format Purified
Clonality Polyclonal (rabbit origin)
Isotype Rabbit Ig
Purity Purified
UniProt Q9UKV0
Applications Western Blot : 1:1000
IHC (Paraffin) : 1:50-1:100
Limitations This HDAC9 antibody is available for research use only.
Review this product on BioCompare and get a $20 Amazon gift card

Related Products

  • Applications : IP, WB, IF, IHC, ELISA
    Reactivity : Human
    Pred. Reactivity : Mouse, Chicken
  • Applications : WB, IF, FACS, Direct ELISA
    Reactivity : Human, Mouse, Rat

Description

Histones play a critical role in transcriptional regulation, cell cycle progression, and developmental events. Histone acetylation/deacetylation alters chromosome structure and affects transcription factor access to DNA. The protein encoded by this gene has sequence homology to members of the histone deacetylase family. This gene is orthologous to the Xenopus and mouse MITR genes. The MITR protein lacks the histone deacetylase catalytic domain. It represses MEF2 activity through recruitment of multicomponent corepressor complexes that include CtBP and HDACs. This encoded protein may play a role in hematopoiesis. Multiple alternatively spliced transcripts have been described for this gene but the full-length nature of some of them has not been determined.

Application Notes

Titration of the HDAC9 antibody may be required due to differences in protocols and secondary/substrate sensitivity.

Immunogen

A portion of amino acids 503-533 from the human protein was used as the immunogen for this HDAC9 antibody.

Storage

Aliquot the HDAC9 antibody and store frozen at -20oC or colder. Avoid repeated freeze-thaw cycles.

Cross
Bulk Quote Request Form
Name*:
Organization*:
Email*:
Phone Number*:
Catalog No.*:
Comments and Specifics(amount, formulation, etc.)*:
Validation code: Captchapackage Image


Can't read the image? click here to refresh.
    *required field

Your bulk quote request has been submitted successfully!

Please contact us if you have any questions.