• Tel: 858.663.9055
  • SeparatorEmail: info@nsjbio.com
  • Tel: 858.663.9055
  • Email: info@nsjbio.com
Home >> Antibodies >> HDAC6 Antibody

HDAC6 Antibody (F41165)

  Catalog No Formulation Size Price (USD)  
Image F41165-0.4ML In 1X PBS, pH 7.4, with 0.09% sodium azide 0.4 ml 429
Image
F41165-0.08ML In 1X PBS, pH 7.4, with 0.09% sodium azide 0.08 ml 199
Bulk quote request
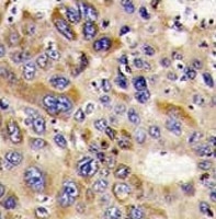
IHC analysis of FFPE human hepatocarcinoma stained with HDAC6 antibody
HDAC6 antibody used in western blot to detect HDAC6 in mouse kidney tissue lysate. Expected molecular weight 130~160kDa.
Availability 1-3 business days
Species Reactivity Human, Mouse
Format Purified
Clonality Polyclonal (rabbit origin)
Isotype Rabbit Ig
Purity Purified
UniProt Q9UBN7
Applications IHC (Paraffin) : 1:10-1:50
Western Blot : 1:1000
Limitations This HDAC6 antibody is available for research use only.
Review this product on BioCompare and get a $20 Amazon gift card

Related Products

  • Applications : FACS, IF
    Reactivity : Human
    Microvalidated
  • Applications : WB
    Reactivity : Human
  • Applications : WB, ELISA (peptide)
    Reactivity : Human, Mouse
    Pred. Reactivity : Cow, Dog, Rat
  • Applications : WB, FACS, IHC-P
    Reactivity : Human, Mouse, Rat

Description

HDAC6 (histone deacetylase 6) is responsible for the deacetylation of lysine residues on the N-terminal part of the core histones (H2A, H2B, H3 and H4). Histone deacetylation gives a tag for epigenetic repression and plays an important role in transcriptional regulation, cell cycle progression and developmental events. Histone deacetylases act via the formation of large multiprotein complexes. HDAC6 plays a central role in microtubule-dependent cell motility via deacetylation of tubulin, and has been shown to interact with HDAC11, SIRT2, and F-actin. HDAC6 is ubiquitinated, but its polyubiquitination however does not lead to degradation. HDAC is also a potential target of sumoylation.

Application Notes

Titration of the HDAC6 antibody may be required due to differences in protocols and secondary/substrate sensitivity.

Immunogen

A portion of amino acids 1182-1215 from the human protein was used as the immunogen for this HDAC6 antibody.

Storage

Aliquot the HDAC6 antibody and store frozen at -20oC or colder. Avoid repeated freeze-thaw cycles.

Cross
Bulk Quote Request Form
Name*:
Organization*:
Email*:
Phone Number*:
Catalog No.*:
Comments and Specifics(amount, formulation, etc.)*:
Validation code: Captchapackage Image


Can't read the image? click here to refresh.
    *required field

Your bulk quote request has been submitted successfully!

Please contact us if you have any questions.