• Tel: 858.663.9055
  • SeparatorEmail: info@nsjbio.com
  • Tel: 858.663.9055
  • Email: info@nsjbio.com
Home >> Antibodies >> HDAC4 Antibody

HDAC4 Antibody (F41149)

  Catalog No Formulation Size Price (USD)  
Image F41149-0.4ML In 1X PBS, pH 7.4, with 0.09% sodium azide 0.4 ml 429
Image
F41149-0.08ML In 1X PBS, pH 7.4, with 0.09% sodium azide 0.08 ml 199
Bulk quote request
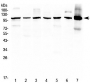
HDAC4 antibody used in western blot to detect HDAC4 in mouse brain tissue lysate. Expected molecular weight: ~140 kDa (full length), ~95 kDa (truncated).
Availability 1-3 business days
Species Reactivity Human, Mouse
Format Purified
Clonality Polyclonal (rabbit origin)
Isotype Rabbit Ig
Purity Purified
UniProt P56524
Applications Western Blot : 1:1000
Limitations This HDAC4 antibody is available for research use only.
Review this product on BioCompare and get a $20 Amazon gift card

Related Products

  • Applications : IF, WB, IHC, ELISA
    Reactivity : Human
  • Applications : WB, FACS
    Reactivity : Human, Mouse, Rat

Description

DNA is wrapped around histone proteins to form nucleosomes and chromatin fiber, a higher-order structure. Chromatin can become alternatively revealed to or concealed from transcription factors. Acetylation of lysine residues induces conformational changes in core histones by destabilizing nucleosomes and allowing transcription factors access to recognition elements in DNA. Deacetylation of histones by histone deacetylases (HDACs) reseals the chromosomal package, leading to a repression of transcription. HDAC4 does not bind DNA directly, but rather through MEF2C and MEF2D. Binding of the N terminus of HDAC4 to MEF2C represses MEF2C transcription activity. The catalytic domain of HDAC4 interacts with HDAC3 via the transcriptional corepressor NCOR2. Experimental conditions leading to the suppression of HDAC4 binding to NCOR2 and to HDAC3 result in loss of enzymatic activity associated with HDAC4, indicating regulation of transcription by bridging the enzymatically active NCOR2-HDAC3 complex and select transcription factors. HDAC4 and MITR contain calmodulin-binding domains that overlap with their MEF2 binding domains. Binding of calmodulin to HDAC4 leads to its dissociation from MEF2, relieving MEF2 from the transcriptional repression by HDAC4. Together, HDAC4, MITR, and CABIN1 constitute a family of calcium-sensitive transcriptional repressors of MEF2. In murine studies, HDAC4, which is expressed in prehypertrophic chondrocytes, interacts with and inhibits the activity of Runx2 in mice, a transcription factor necessary for chondrocyte hypertrophy, establishing HDAC4 as a central regulator of chondrocyte hypertrophy and skeletogenesis.

Application Notes

Titration of the HDAC4 antibody may be required due to differences in protocols and secondary/substrate sensitivity.

Immunogen

A portion of amino acids 1052-1084 from the human protein was used as the immunogen for this HDAC4 antibody.

Storage

Aliquot the HDAC4 antibody and store frozen at -20oC or colder. Avoid repeated freeze-thaw cycles.

Cross
Bulk Quote Request Form
Name*:
Organization*:
Email*:
Phone Number*:
Catalog No.*:
Comments and Specifics(amount, formulation, etc.)*:
Validation code: Captchapackage Image


Can't read the image? click here to refresh.
    *required field

Your bulk quote request has been submitted successfully!

Please contact us if you have any questions.