• Tel: 858.663.9055
  • SeparatorEmail: info@nsjbio.com
  • Tel: 858.663.9055
  • Email: info@nsjbio.com
Home >> Antibodies >> HDAC3 Antibody

HDAC3 Antibody (R30679)

  Catalog No Formulation Size Price (USD)  
Image R30679 0.5mg/ml if reconstituted with 0.2ml sterile DI water 100 ug 439
Bulk quote request
Western blot testing of HDAC3 antibody and Lane 1: rat stomach; 2: rat testis; 3: MCF-7; 4: HeLa; 5: Jurkat; 6: SKOV cell lysate. Predicted molecular weight ~49 kDa.
IHC-P: HDAC3 antibody testing of human intestinal cancer tissue.
IHC-P: HDAC3 antibody testing of human lung cancer tissue.
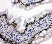
IHC-P: HDAC3 antibody testing of rat intestine tissue.
IHC-F testing of mouse brain tissue.
ICC staining of human A549 cells.
Availability 1-2 business days
Species Reactivity Human, Mouse, Rat
Format Antigen affinity purified
Clonality Polyclonal (rabbit origin)
Isotype Rabbit IgG
Purity Antigen affinity
Buffer Lyophilized from 1X PBS with 2.5% BSA and 0.025% sodium azide/thimerosal
UniProt O15379
Localization Nuclear, cytoplasmic
Applications Western Blot : 0.5-1ug/ml
IHC (FFPE) : 0.5-1ug/ml
IHC (Frozen) : 0.5-1ug/ml
Immunocytochemistry : 0.5-1ug/ml
Limitations This HDAC3 antibody is available for research use only.
Review this product on BioCompare and get a $20 Amazon gift card

Related Products

  • Applications : WB, IHC-P
    Reactivity : Human
    Recrabbitmono
  • Applications : ELISA, FACS, IF
    Reactivity : Human
    Microvalidated
  • Applications : WB
    Reactivity : Human, Mouse
    Rab Mono Image
  • Applications : ELISA, WB, FACS, IF
    Reactivity : Human
  • Applications : WB, IHC, ELISA
    Reactivity : Human
    Pred. Reactivity : Mouse, Rat
  • Applications : WB, ELISA (peptide)
    Reactivity : Human
    Pred. Reactivity : Cow, Dog, Mouse, Pig, Rat
  • Applications : WB, FACS, Direct ELISA
    Reactivity : Human, Mouse, Rat

Description

Histone deacetylase 3 is a member of the histone deacetylase/acuc/apha family of proteins and is an enzyme that in humans is encoded by the HDAC3 gene. The enzyme has histone deacetylase activity and represses transcription when tethered to a promoter. It may participate in the regulation of transcription through its binding with the zinc-finger transcription factor YY1. The protein can also down-regulate p53 function and thus modulate cell growth and apoptosis. And this gene is regarded as a potential tumor suppressor gene. HDAC3 has an open reading frame of 428 amino acids and shares 53% amino acid identity with HDAC1 and 52% with HDAC2. The catalytic domain of HDAC4 interacts with HDAC3 via the transcriptional corepressor NCOR2. All experimental conditions leading to the suppression of HDAC4 binding to NCOR2 and to HDAC3 resulted in loss of enzymatic activity associated with HDAC4.

Application Notes

The stated application concentrations are suggested starting amounts. Titration of the HDAC3 antibody may be required due to differences in protocols and secondary/substrate sensitivity.

Immunogen

Amino acids 411-428 (NEFYDGDHDNDKESDVEI) were used as the immunogen for this HDAC3 antibody (100% homologous in human, mouse and rat).

Storage

After reconstitution, the HDAC3 antibody can be stored for up to one month at 4oC. For long-term, aliquot and store at -20oC. Avoid repeated freezing and thawing.

Cross
Bulk Quote Request Form
Name*:
Organization*:
Email*:
Phone Number*:
Catalog No.*:
Comments and Specifics(amount, formulation, etc.)*:
Validation code: Captchapackage Image


Can't read the image? click here to refresh.
    *required field

Your bulk quote request has been submitted successfully!

Please contact us if you have any questions.