• Tel: 858.663.9055
  • SeparatorEmail: info@nsjbio.com
  • Tel: 858.663.9055
  • Email: info@nsjbio.com
Home >> Antibodies >> HDAC2 Antibody

HDAC2 Antibody (RQ6487)

  Catalog No Formulation Size Price (USD)  
Image RQ6487 0.5mg/ml if reconstituted with 0.2ml sterile DI water 100 ug 439
Bulk quote request
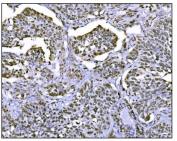
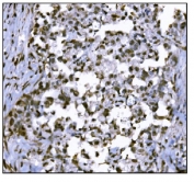
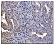
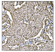
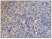
IHC staining of FFPE human ovarian cancer tissue with HDAC2 antibody. HIER: boil tissue sections in pH8 EDTA for 20 min and allow to cool before testing.
IHC staining of FFPE human gastric cancer tissue with HDAC2 antibody. HIER: boil tissue sections in pH8 EDTA for 20 min and allow to cool before testing.
IHC staining of FFPE human cervical cancer tissue with HDAC2 antibody. HIER: boil tissue sections in pH8 EDTA for 20 min and allow to cool before testing.
IHC staining of FFPE human breast cancer tissue with HDAC2 antibody. HIER: boil tissue sections in pH8 EDTA for 20 min and allow to cool before testing.
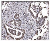
IHC staining of FFPE human endometrial cancer tissue with HDAC2 antibody. HIER: boil tissue sections in pH8 EDTA for 20 min and allow to cool before testing.
IHC staining of FFPE human gallbladder adenocarcinoma tissue with HDAC2 antibody. HIER: boil tissue sections in pH8 EDTA for 20 min and allow to cool before testing.
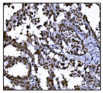
IHC staining of FFPE human lung cancer tissue with HDAC2 antibody. HIER: boil tissue sections in pH8 EDTA for 20 min and allow to cool before testing.
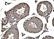
IHC staining of FFPE mouse testis tissue with HDAC2 antibody. HIER: boil tissue sections in pH8 EDTA for 20 min and allow to cool before testing.
Immunofluorescent staining of FFPE human Caco-2 cells with HDAC2 antibody (red) and DAPI nuclear stain (blue). HIER: steam section in pH6 citrate buffer for 20 min.
Western blot testing of 1) human K562, 2) human ThP-1, 3) human HL60, 4) human Caco-2, 5) human HepG2, 6) rat brain, 7) rat lung, 8) rat pancreas, 9) mouse brain and 10) mouse lung lysate with HDAC2 antibody. Predicted molecular weight: 55-60 kDa.
Flow cytometry testing of human HL60 cells with HDAC2 antibody at 1ug/million cells (blocked with goat sera); Red=cells alone, Green=isotype control, Blue= HDAC2 antibody.
Availability 1-3 business days
Species Reactivity Human, Mouse, Rat
Format Antigen affinity purified
Clonality Polyclonal (rabbit origin)
Isotype Rabbit IgG
Purity Affinity purified
Buffer Lyophilized from 1X PBS with 2% Trehalose
UniProt Q92769
Localization Nuclear, cytoplasmic
Applications Western Blot : 1-2ug/ml
Immunohistochemistry (FFPE) : 2-5ug/ml
Immunofluorescence : 5ug/ml
Flow Cytometry : 1-3ug/million cells
Direct ELISA : 0.1-0.5ug/ml
Limitations This HDAC2 antibody is available for research use only.
Review this product on BioCompare and get a $20 Amazon gift card

Related Products

  • Applications : WB
    Reactivity : Human, Mouse, Rat
  • Applications : IHC, FACS, IF, WB, ELISA
    Reactivity : Human
    Pred. Reactivity : Mouse, Chicken
  • Applications : WB, IF, IHC-P
    Reactivity : Human

Description

Histone deacetylase 2 is an enzyme that in humans is encoded by the HDAC2 gene. This gene product belongs to the histone deacetylase family. Histone deacetylases act via the formation of large multiprotein complexes and are responsible for the deacetylation of lysine residues on the N-terminal region of the core histones(H2A, H2B, H3 and H4). This protein also forms transcriptional repressor complexes by associating with many different proteins, including YY1, a mammalian zinc-finger transcription factor. Thus it plays an important role in transcriptional regulation, cell cycle progression and developmental events. Betz et al.(1998) performed PCR using HDAC2-specific primers to screen a somatic cell hybrid mapping panel. They mapped the HDAC2 gene to human chromosome 6q21, a region of the genome altered in some cancers, including retinoblastoma.

Application Notes

Optimal dilution of the HDAC2 antibody should be determined by the researcher.

Immunogen

An E. coli-derived human protein (amino acids E387-P488) was used as the immunogen for the HDAC2 antibody.

Storage

After reconstitution, the HDAC2 antibody can be stored for up to one month at 4oC. For long-term, aliquot and store at -20oC. Avoid repeated freezing and thawing.

Cross
Bulk Quote Request Form
Name*:
Organization*:
Email*:
Phone Number*:
Catalog No.*:
Comments and Specifics(amount, formulation, etc.)*:
Validation code: Captchapackage Image


Can't read the image? click here to refresh.
    *required field

Your bulk quote request has been submitted successfully!

Please contact us if you have any questions.