• Tel: 858.663.9055
  • SeparatorEmail: info@nsjbio.com
  • Tel: 858.663.9055
  • Email: info@nsjbio.com
Home >> Antibodies >> hCG Receptor Antibody

hCG Receptor Antibody (R30629)

  Catalog No Formulation Size Price (USD)  
Image R30629 0.5mg/ml if reconstituted with 0.2ml sterile DI water 100 ug 439
Bulk quote request
Western blot testing of hCG receptor antibody and MCF-7 lysate. Predicted/observed molecular weight: ~79kDa.
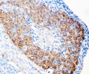
IHC-P: hCG receptor antibody testing of rat ovary tissue. HIER: steamed with pH6 citrate buffer.
Availability 1-3 business days
Species Reactivity Human, Rat
Format Antigen affinity purified
Clonality Polyclonal (rabbit origin)
Isotype Rabbit IgG
Purity Antigen affinity
Buffer Lyophilized from 1X PBS with 2.5% BSA and 0.025% sodium azide/thimerosal
UniProt P22888
Applications Western Blot : 0.5-1ug/ml
Immunohistochemistry (FFPE) : 0.5-1ug/ml
Limitations This hCG receptor antibody is available for research use only.
Review this product on BioCompare and get a $20 Amazon gift card

Related Products

Description

The Luteinizing hormone/choriogonadotropin receptor is a member of a subfamily of G protein-coupled receptors (GPCR) characterized by the presence of a large N-terminal extracellular domain containing several leucine-rich repeats (LRR). This glycoprotein hormone receptor family has been named to the LRR-containing GPCR (LGR) family. The LHCGR gene contains 11 exons and spans approximately 80 kb and it is mapped to chromosome 2p21. In the ovary, theca, stromal, late-stage(luteinizing) granulosa, and luteal cells contain LHCGR. In the testes, Leydig cells contain LHCRG.

Application Notes

The stated application concentrations are suggested starting amounts. Titration of the hCG receptor antibody may be required due to differences in protocols and secondary/substrate sensitivity.

Immunogen

An amino acid sequence from the N-terminus of human hCG receptor (YLSICNTGIRKFPDVTK) was used as the immunogen for this hCG receptor antibody.

Storage

After reconstitution, the hCG receptor antibody can be stored for up to one month at 4oC. For long-term, aliquot and store at -20oC. Avoid repeated freezing and thawing.

Cross
Bulk Quote Request Form
Name*:
Organization*:
Email*:
Phone Number*:
Catalog No.*:
Comments and Specifics(amount, formulation, etc.)*:
Validation code: Captchapackage Image


Can't read the image? click here to refresh.
    *required field

Your bulk quote request has been submitted successfully!

Please contact us if you have any questions.