• Tel: 858.663.9055
  • SeparatorEmail: info@nsjbio.com
  • Tel: 858.663.9055
  • Email: info@nsjbio.com
Home >> Antibodies >> HCAR1 Antibody / Hydroxycarboxylic acid receptor 1 / GPR81

HCAR1 Antibody / Hydroxycarboxylic acid receptor 1 / GPR81 (F55103)

  Catalog No Formulation Size Price (USD)  
Image F55103-0.4ML In 1X PBS, pH 7.4, with 0.09% sodium azide 0.4 ml 429
Image
F55103-0.08ML In 1X PBS, pH 7.4, with 0.09% sodium azide 0.08 ml 199
Bulk quote request
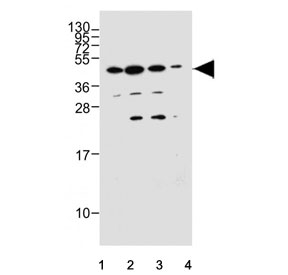
Western blot testing of human 1) MCF7, 2) T-47D, 3) SK-BR-3 and 4) HepG2 cell lysate with HCAR1 antibody. Predicted molecular weight ~39 kDa.
Western blot testing of human 293T cell lysate with HCAR1 antibody. Predicted molecular weight ~39 kDa.
Availability 1-3 business days
Species Reactivity Human
Format Purified
Clonality Polyclonal (rabbit origin)
Isotype Rabbit Ig
Purity Antigen affinity
UniProt Q9BXC0
Applications Western Blot : 1:500-1:1000
Limitations This HCAR1 antibody is available for research use only.
Review this product on BioCompare and get a $20 Amazon gift card

Related Products

Description

HCAR1 is a G-protein coupled receptor that is primarily found in various tissues throughout the body, including the liver, adipose tissue, and skeletal muscle. When activated by its ligand, which in this case is a specific type of hydroxycarboxylic acid, HCAR1 plays a key role in regulating glucose and lipid metabolism. One of the most intriguing aspects of HCAR1 is its ability to promote the use of fats as an energy source, a process known as fatty acid oxidation. By activating HCAR1, the body is able to break down fatty acids more efficiently, leading to improved metabolic health and potentially aiding in weight management. Additionally, HCAR1 has been shown to have anti-inflammatory effects, which can help combat chronic inflammation associated with metabolic disorders such as obesity and diabetes. By modulating the body's immune response, HCAR1 can help reduce inflammation and improve overall health.

Application Notes

The stated application concentrations are suggested starting points. Titration of the HCAR1 antibody may be required due to differences in protocols and secondary/substrate sensitivity.

Immunogen

A portion of amino acids 287-316 from the human protein was used as the immunogen for the HCAR1 antibody.

Storage

Aliquot the HCAR1 antibody and store frozen at -20oC or colder. Avoid repeated freeze-thaw cycles.

Cross
Bulk Quote Request Form
Name*:
Organization*:
Email*:
Phone Number*:
Catalog No.*:
Comments and Specifics(amount, formulation, etc.)*:
Validation code: Captchapackage Image


Can't read the image? click here to refresh.
    *required field

Your bulk quote request has been submitted successfully!

Please contact us if you have any questions.