• Tel: 858.663.9055
  • SeparatorEmail: info@nsjbio.com
  • Tel: 858.663.9055
  • Email: info@nsjbio.com
Home >> Antibodies >> HBsAg Antibody / Hepatitis B surface antigen

HBsAg Antibody / Hepatitis B surface antigen [clone HBsAg/7556R] (V5317)

  Catalog No Formulation Size Price (USD)  
Image V5317-100UG 0.2 mg/ml in 1X PBS with 0.1 mg/ml BSA (US sourced), 0.05% sodium azide 100 ug 539
Image
V5317-20UG 0.2 mg/ml in 1X PBS with 0.1 mg/ml BSA (US sourced), 0.05% sodium azide 20 ug 249
Image
V5317SAF-100UG 1 mg/ml in 1X PBS; BSA free, sodium azide free 100 ug 539
Microvalidated Recrabbitmono
Bulk quote request
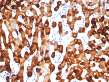
IHC staining of FFPE human HBV-infected liver with HBsAg antibody (clone HBsAG/7666R). HIER: boil tissue sections in pH 9 10mM Tris with 1mM EDTA for 20 min and allow to cool before testing.
SDS-PAGE analysis of purified, BSA-free HBsAg antibody (clone HBsAG/7666R) as confirmation of integrity and purity.
Availability 1-3 business days
Species Reactivity Human
Format Purified
Clonality Recombinant Rabbit Monoclonal
Isotype Rabbit IgG, kappa
Clone Name HBsAg/7556R
Purity Protein A/G affinity
UniProt P03138
Localization Cytoplasm
Applications Immunohistochemistry (FFPE) : 1-2ug/ml for 30 min at RT
Limitations This HBsAg antibody is available for research use only.
Review this product on BioCompare and get a $20 Amazon gift card

Related Products

Description

Hepatitis B surface antigen (HBsAg) is a glycoprotein on the surface of hepatitis B virus. After hepatitis B infection, HBsAg appears as the first viral marker. HBsAg can be detected in blood, saliva, breast milk, sweat, tears, nasopharyngeal secretions, semen and vaginal secretions of patients 2 to 6 months after infection with HBV. HBsAg antibodies are mainly used for the diagnosis of hepatitis B virus.

Application Notes

Optimal dilution of the HBsAg antibody should be determined by the researcher.

Immunogen

Recombinant full-length human HBsAg protein was used as the immunogen for the HBsAg antibody.

Storage

Aliquot the HBsAg antibody and store frozen at -20oC or colder. Avoid repeated freeze-thaw cycles.

Cross
Bulk Quote Request Form
Name*:
Organization*:
Email*:
Phone Number*:
Catalog No.*:
Comments and Specifics(amount, formulation, etc.)*:
Validation code: Captchapackage Image


Can't read the image? click here to refresh.
    *required field

Your bulk quote request has been submitted successfully!

Please contact us if you have any questions.