• Tel: 858.663.9055
  • SeparatorEmail: info@nsjbio.com
  • Tel: 858.663.9055
  • Email: info@nsjbio.com
Home >> Antibodies >> HBD Antibody / Hemoglobin subunit delta

HBD Antibody / Hemoglobin subunit delta (R32880)

  Catalog No Formulation Size Price (USD)  
Image R32880 0.5mg/ml if reconstituted with 0.2ml sterile DI water 100 ug 439
Bulk quote request
Western blot testing of 1) human placenta, 2) rat spleen and 3) mouse spleen lysate with HBD antibody at 0.5ug/ml. Predicted molecular weight ~16 kDa.
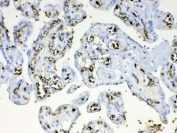
IHC testing of FFPE human placental tissue with HBD antibody at 1ug/ml. Required HIER: steam section in pH6 citrate buffer for 20 min and allow to cool prior to testing.
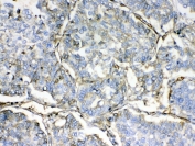
IHC testing of FFPE human breast cancer tissue with HBD antibody at 1ug/ml. Required HIER: steam section in pH6 citrate buffer for 20 min and allow to cool prior to testing.
IHC testing of FFPE human lung cancer tissue with HBD antibody at 1ug/ml. Required HIER: steam section in pH6 citrate buffer for 20 min and allow to cool prior to testing.
IHC testing of FFPE human intestinal cancer tissue with HBD antibody at 1ug/ml. Required HIER: steam section in pH6 citrate buffer for 20 min and allow to cool prior to testing.
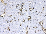
IHC testing of FFPE mouse liver tissue with HBD antibody at 1ug/ml. Required HIER: steam section in pH6 citrate buffer for 20 min and allow to cool prior to testing.
IHC testing of FFPE rat liver tissue with HBD antibody at 1ug/ml. Required HIER: steam section in pH6 citrate buffer for 20 min and allow to cool prior to testing.
Availability 1-3 business days
Species Reactivity Human, Mouse, Rat
Format Antigen affinity purified
Clonality Polyclonal (rabbit origin)
Isotype Rabbit IgG
Purity Antigen affinity
Buffer Lyophilized from 1X PBS with 2.5% BSA, 0.025% sodium azide
UniProt P02042
Localization Cytosol
Applications Western Blot : 0.5-1ug/ml
IHC (FFPE) : 1-2ug/ml
Direct ELISA (recombinant Human Protein) : 0.1-0.5ug/ml (BSA-free format available)
Limitations This HBD antibody is available for research use only.
Review this product on BioCompare and get a $20 Amazon gift card

Description

Hemoglobin subunit delta is a protein that in humans is encoded by the HBD gene. The delta (HBD) and beta (HBB) genes are normally expressed in the adult: two alpha chains plus two beta chains constitute HbA, which in normal adult life comprises about 97% of the total hemoglobin. Two alpha chains plus two delta chains constitute HbA-2, which with HbF comprises the remaining 3% of adult hemoglobin. Five beta-like globin genes are found within a 45 kb cluster on chromosome 11 in the following order: 5'-epsilon--Ggamma--Agamma--delta--beta-3'.

Application Notes

Optimal dilution of the HBD antibody should be determined by the researcher.

Immunogen

A recombinant human protein corresponding to amino acids V2-H147 was used as the immunogen for the HBD antibody.

Storage

After reconstitution, the HBD antibody can be stored for up to one month at 4oC. For long-term, aliquot and store at -20oC. Avoid repeated freezing and thawing.

Cross
Bulk Quote Request Form
Name*:
Organization*:
Email*:
Phone Number*:
Catalog No.*:
Comments and Specifics(amount, formulation, etc.)*:
Validation code: Captchapackage Image


Can't read the image? click here to refresh.
    *required field

Your bulk quote request has been submitted successfully!

Please contact us if you have any questions.