• Tel: 858.663.9055
  • SeparatorEmail: info@nsjbio.com
  • Tel: 858.663.9055
  • Email: info@nsjbio.com
Home >> Antibodies >> HBBM Antibody / Heparin-binding brain mitogen / Pleiotrophin

HBBM Antibody / Heparin-binding brain mitogen / Pleiotrophin (RQ7844)

  Catalog No Formulation Size Price (USD)  
Image RQ7844 0.5mg/ml if reconstituted with 0.2ml sterile DI water 100 ug 439
Bulk quote request
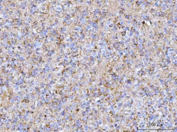
IHC staining of FFPE human glioma tissue with HBBM antibody. HIER: boil tissue sections in pH8 EDTA for 20 min and allow to cool before testing.
IHC staining of FFPE mouse brain tissue with HBBM antibody. HIER: boil tissue sections in pH8 EDTA for 20 min and allow to cool before testing.
IHC staining of FFPE rat brain tissue with HBBM antibody. HIER: boil tissue sections in pH8 EDTA for 20 min and allow to cool before testing.
Western blot testing of 1) huma U-251, 2) rat brain, 3) rat C6 and 4) mouse brain tissue lysate with HBBM antibody. Predicted molecular weight ~19 kDa.
Flow cytometry testing of human U-2 OS cells with HBBM antibody at 1ug/million cells (blocked with goat sera); Red=cells alone, Green=isotype control, Blue= HBBM antibody.
Availability 1-3 business days
Species Reactivity Human, Mouse, Rat
Format Antigen affinity purified
Clonality Polyclonal (rabbit origin)
Isotype Rabbit IgG
Purity Antigen affinity purified
Buffer Lyophilized from 1X PBS with 2% Trehalose
UniProt P21246
Applications Western Blot : 0.5-1ug/ml
Immunohistochemistry (FFPE) : 2-5ug/ml
Flow Cytometry : 1-3ug/million cells
Direct ELISA : 0.1-0.5ug/ml
Limitations This HBBM antibody is available for research use only.
Review this product on BioCompare and get a $20 Amazon gift card

Related Products

Description

Pleiotrophin (PTN), also known as heparin-binding brain mitogen (HBBM), heparin-binding growth factor 8 (HBGF-8), neurite growth-promoting factor 1 (NEGF1), heparin affinity regulatory peptide (HARP), heparin binding growth associated molecule (HB-GAM) and Osteoblast-specific factor 1 (OSF-1), is a protein that in humans is encoded by the PTN gene. PTN is the first member of a family of developmentally regulated cytokines. The PTN gene is mapped to 7q33-q34. A mutant PTN that contained only the first N-terminal 40 amino acids was a dominant negative. Pleiotrophin is expressed in the central and peripheral nervous system and also in several non-neural tissues, notably lung, kidney, gut and bone. Pleiotrophin binds to cell-surface nucleolin as a low affinity receptor. This binding can inhibit HIV infection.

Application Notes

Optimal dilution of the PTN antibody should be determined by the researcher.

Immunogen

E. coli-derived recombinant human protein (amino acids D61-K148) was used as the immunogen for the HBBM antibody.

Storage

After reconstitution, the HBBM antibody can be stored for up to one month at 4oC. For long-term, aliquot and store at -20oC. Avoid repeated freezing and thawing.

Cross
Bulk Quote Request Form
Name*:
Organization*:
Email*:
Phone Number*:
Catalog No.*:
Comments and Specifics(amount, formulation, etc.)*:
Validation code: Captchapackage Image


Can't read the image? click here to refresh.
    *required field

Your bulk quote request has been submitted successfully!

Please contact us if you have any questions.