• Tel: 858.663.9055
  • SeparatorEmail: info@nsjbio.com
  • Tel: 858.663.9055
  • Email: info@nsjbio.com
Home >> Antibodies >> Haptoglobin Antibody

Haptoglobin Antibody (RQ4882)

  Catalog No Formulation Size Price (USD)  
Image RQ4882 0.5mg/ml if reconstituted with 0.2ml sterile DI water 100 ug 439
Bulk quote request
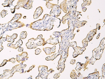
IHC staining of FFPE human placenta with Haptoglobin antibody at 1ug/ml. HIER: boil tissue sections in pH6, 10mM citrate buffer, for 10-20 min and allow to cool before testing.
IHC staining of FFPE human liver cancer with Haptoglobin antibody at 1ug/ml. HIER: boil tissue sections in pH6, 10mM citrate buffer, for 10-20 min and allow to cool before testing.
IHC staining of FFPE rat liver with Haptoglobin antibody at 1ug/ml. HIER: boil tissue sections in pH6, 10mM citrate buffer, for 10-20 min and allow to cool before testing.
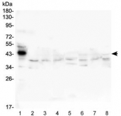
Western blot testing of 1) human placenta, 2) human HepG2 (lot 1), 3) human HepG2 (lot 2), 4) human plasma, 5) rat liver, 6) rat RH35, 7) mouse liver and 8) mouse HEPA1-6 lysate with Haptoglobin antibody at 0.5ug/ml. Predicted molecular weight ~14 kDa (alpha chain), 45-50 kDa (alpha + beta chain).
Availability 1-3 business days
Species Reactivity Human, Mouse, Rat
Format Antigen affinity purified
Clonality Polyclonal (rabbit origin)
Isotype Rabbit IgG
Purity Antigen affinity purified
Buffer Lyophilized from 1X PBS with 2% Trehalose
UniProt P00738
Applications Western Blot : 0.5-1ug/ml
Immunohistochemistry (FFPE) : 1-2ug/ml
Direct ELISA : 0.1-0.5ug/ml
Limitations This Haptoglobin antibody is available for research use only.
Review this product on BioCompare and get a $20 Amazon gift card

Related Products

Description

Haptoglobin (HP), is a protein that in humans is encoded by the HP gene. Haptoglobin, a plasma glycoprotein that binds free hemoglobin, has a tetrameric structure of 2 alpha and 2 beta polypeptides that are covalently associated by disulfide bonds. Haptoglobin is homologous to serine proteases of the chymotrypsinogen family. A major function of haptoglobin is to bind hemoglobin(Hb) to form a stable Hp-Hb complex and thereby prevent Hb-induced oxidative tissue damage. Haptoglobin is an unusual secretory protein in that it is proteolytically processed in the endoplasmic reticulum and not in the Golgi. In clinical settings, the haptoglobulin assay is used to screen for and monitor intravascular hemolytic anemia .

Application Notes

Optimal dilution of the Haptoglobin antibody should be determined by the researcher.

Immunogen

Amino acids V19-Q160 from the human protein were used as the immunogen for the Haptoglobin antibody.

Storage

After reconstitution, the Haptoglobin antibody can be stored for up to one month at 4oC. For long-term, aliquot and store at -20oC. Avoid repeated freezing and thawing.

Cross
Bulk Quote Request Form
Name*:
Organization*:
Email*:
Phone Number*:
Catalog No.*:
Comments and Specifics(amount, formulation, etc.)*:
Validation code: Captchapackage Image


Can't read the image? click here to refresh.
    *required field

Your bulk quote request has been submitted successfully!

Please contact us if you have any questions.