• Tel: 858.663.9055
  • SeparatorEmail: info@nsjbio.com
  • Tel: 858.663.9055
  • Email: info@nsjbio.com
Home >> Antibodies >> Haptoglobin Antibody / HP

Haptoglobin Antibody / HP (F55010)

  Catalog No Formulation Size Price (USD)  
Image F55010-0.4ML In 1X PBS, pH 7.4, with 0.09% sodium azide 0.4 ml 429
Image
F55010-0.08ML In 1X PBS, pH 7.4, with 0.09% sodium azide 0.08 ml 199
Bulk quote request
Western blot testing of human liver tissue lysate with Haptoglobin antibody. Predicted molecular weight: 45, 38 kDa (two isoforms).
Western blot testing of 1) non-transfected and 2) transfected 293 cell lysate with Haptoglobin antibody.
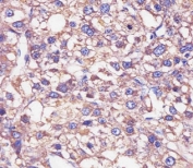
IHC testing of FFPE human hepatocellular carcinoma tissue with Haptoglobin antibody. HIER: steam section in pH6 citrate buffer for 20 min and allow to cool prior to staining.
Flow cytometry testing of human HepG2 cells with Haptoglobin antibody; Blue=isotype control, Green= Haptoglobin antibody.
Availability 1-3 business days
Species Reactivity Human, Mouse
Format Purified
Clonality Polyclonal (rabbit origin)
Isotype Rabbit Ig
Purity Antigen affinity purified
UniProt P00738
Applications Flow Cytometry : 1:10-1:50 (1x10e6 cells)
Western Blot : 1:1000-1:2000
Immunohistochemistry (FFPE) : 1:50-1:100
Limitations This Haptoglobin antibody is available for research use only.
Review this product on BioCompare and get a $20 Amazon gift card

Related Products

Description

HP is a preproprotein, which is processed to yield both alpha and beta chains, which subsequently combine as a tetramer to produce haptoglobin. Haptoglobin functions to bind free plasma hemoglobin, which allows degradative enzymes to gain access to the hemoglobin, while at the same time preventing loss of iron through the kidneys and protecting the kidneys from damage by hemoglobin. Mutations in this gene and/or its regulatory regions cause ahaptoglobinemia or hypohaptoglobinemia.

Application Notes

The stated application concentrations are suggested starting points. Titration of the Haptoglobin antibody may be required due to differences in protocols and secondary/substrate sensitivity.

Immunogen

A portion of amino acids 295-322 from the human protein was used as the immunogen for the Haptoglobin antibody.

Storage

Aliquot the Haptoglobin antibody and store frozen at -20oC or colder. Avoid repeated freeze-thaw cycles.

Cross
Bulk Quote Request Form
Name*:
Organization*:
Email*:
Phone Number*:
Catalog No.*:
Comments and Specifics(amount, formulation, etc.)*:
Validation code: Captchapackage Image


Can't read the image? click here to refresh.
    *required field

Your bulk quote request has been submitted successfully!

Please contact us if you have any questions.