• Tel: 858.663.9055
  • SeparatorEmail: info@nsjbio.com
  • Tel: 858.663.9055
  • Email: info@nsjbio.com
Home >> Antibodies >> Haptoglobin Antibody

Haptoglobin Antibody [clone AACE-8] (RQ4846)

  Catalog No Formulation Size Price (USD)  
Image RQ4846 Antibody in PBS with 0.02% sodium azide, 50% glycerol and 0.4-0.5mg/ml BSA 100 ul 439
Microvalidated Rab Mono Image
Bulk quote request
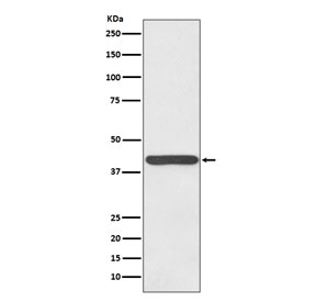
Western blot testing of human plasma lysate with Haptoglobin antibody. Predicted molecular weight: 45-50 kDa (alpha + beta chain).
Availability 1-2 weeks
Species Reactivity Human
Format Purified
Clonality Rabbit Monoclonal
Isotype Rabbit IgG
Clone Name AACE-8
Purity Affinity purified
UniProt P00738
Applications Western Blot : 1:500-1:2000
Limitations This Haptoglobin antibody is available for research use only.
Review this product on BioCompare and get a $20 Amazon gift card

Related Products

Description

As a result of hemolysis, hemoglobin is found to accumulate in the kidney and is secreted in the urine. Haptoglobin captures, and combines with free plasma hemoglobin to allow hepatic recycling of heme iron and to prevent kidney damage. [UniProt]

Application Notes

Optimal dilution of the Haptoglobin antibody should be determined by the researcher.

Immunogen

A synthetic peptide specific to human Haptoglobin / HP was used as the immunogen for the Haptoglobin antibody.

Storage

Store the Haptoglobin antibody at -20oC.

Cross
Bulk Quote Request Form
Name*:
Organization*:
Email*:
Phone Number*:
Catalog No.*:
Comments and Specifics(amount, formulation, etc.)*:
Validation code: Captchapackage Image


Can't read the image? click here to refresh.
    *required field

Your bulk quote request has been submitted successfully!

Please contact us if you have any questions.