• Tel: 858.663.9055
  • SeparatorEmail: info@nsjbio.com
  • Tel: 858.663.9055
  • Email: info@nsjbio.com
Home >> Antibodies >> HAPLN1 Antibody

HAPLN1 Antibody [clone BHA-8] (RQ5347)

  Catalog No Formulation Size Price (USD)  
Image RQ5347 Antibody in PBS with 0.02% sodium azide, 50% glycerol and 0.4-0.5mg/ml BSA 100 ul 439
Microvalidated Rab Mono Image
Bulk quote request
Western blot testing of 1) human Caco-2 and 2) mouse spleen lysate with HAPLN1 antibody. Expected molecular weight: 41-48 kDa depending on glycosylation level.
Western blot testing of human 1) HeLa, 2) Jurkat, 3) MCF7 and 4) SH-SY5Y cell lysate with HAPLN1 antibody at 1:1000. Expected molecular weight: 41-48 kDa depending on glycosylation level.
Western blot testing of human 1) A549, 2) NCI-H1299 and 3) HUVEC lysate with HAPLN1 antibody at 1:1000. Expected molecular weight: 41-48 kDa depending on glycosylation level.
Western blot testing of 1) mouse liver, 2) mouse spleen, 3) mouse brain, 4) rat heart, 5) rat liver, 6) rat kidney and 7) rat brain tissue lysate with HAPLN1 antibody at 1:1000. Expected molecular weight: 41-48 kDa depending on glycosylation level.
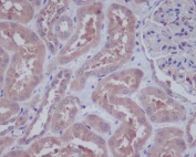
IHC staining of FFPE human kidney tissue with HAPLN1 antibody at 1:50. HIER: boil tissue sections in pH6 citrate buffer for 20 min and allow to cool before testing.
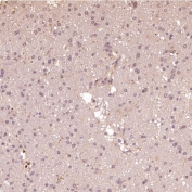
IHC staining of FFPE human glioblastoma tissue with HAPLN1 antibody at 1:50. HIER: boil tissue sections in pH6 citrate buffer for 20 min and allow to cool before testing.
IHC staining of FFPE mouse heart tissue with HAPLN1 antibody at 1:50. HIER: boil tissue sections in pH6 citrate buffer for 20 min and allow to cool before testing.
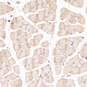
IHC staining of FFPE mouse skeletal muscle tissue with HAPLN1 antibody at 1:50. HIER: boil tissue sections in pH6 citrate buffer for 20 min and allow to cool before testing.
IHC staining of FFPE rat liver tissue with HAPLN1 antibody at 1:50. HIER: boil tissue sections in pH6 citrate buffer for 20 min and allow to cool before testing.
Immunofluorescent staining of FFPE human HeLa cells with HAPLN1 antibody (green) and DAPI nuclear stain (blue). HIER: steam section in pH6 citrate buffer for 20 min.
Availability 1-2 weeks
Species Reactivity Human, Mouse
Format Purified
Clonality Rabbit Monoclonal
Isotype Rabbit IgG
Clone Name BHA-8
Purity Affinity purified
UniProt P10915
Applications Western Blot : 1:500-1:2000
Immunohistochemistry (FFPE) : 1:50-1:200
Immunofluorescence : 1:50-1:100
Limitations This HAPLN1 antibody is available for research use only.
Review this product on BioCompare and get a $20 Amazon gift card

Related Products

Description

Hyaluronan and proteoglycan link protein 1 stabilizes the aggregates of proteoglycan monomers with hyaluronic acid in the extracellular cartilage matrix. [UniProt]

Application Notes

Optimal dilution of the HAPLN1 antibody should be determined by the researcher.

Immunogen

A synthetic peptide specific to human HAPLN1 was used as the immunogen for the HAPLN1 antibody.

Storage

Store the HAPLN1 antibody at -20oC.

Cross
Bulk Quote Request Form
Name*:
Organization*:
Email*:
Phone Number*:
Catalog No.*:
Comments and Specifics(amount, formulation, etc.)*:
Validation code: Captchapackage Image


Can't read the image? click here to refresh.
    *required field

Your bulk quote request has been submitted successfully!

Please contact us if you have any questions.