• Tel: 858.663.9055
  • SeparatorEmail: info@nsjbio.com
  • Tel: 858.663.9055
  • Email: info@nsjbio.com
Home >> Antibodies >> HAP1 Antibody

HAP1 Antibody (R35816)

  Catalog No Formulation Size Price (USD)  
Image R35816-100UG 0.5 mg/ml in 1X TBS, pH7.3, with 0.5% BSA (US sourced) and 0.02% sodium azide 100 ug 449
Bulk quote request
Western blot testing of human hippocampus lysate with HAP1 antibody at 0.1ug/ml. The expected ~70 kDa band and the additional ~25 kDa band are both blocked by the immunizing peptide.
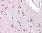
IHC testing of FFPE human brain (cortex) tissue with HAP1 antibody at 3.75ug/ml. Required HIER: steamed antigen retrieval with pH6 citrate buffer; AP-staining.
Availability 1-3 business days
Species Reactivity Human
Format Antigen affinity purified
Clonality Polyclonal (goat origin)
Isotype Goat Ig
Purity Antigen affinity
Gene ID 9001
Applications Western Blot : 0.1-0.3ug/ml
IHC (FFPE) : 3.75ug/ml
ELISA (peptide) LOD : 1:32000
Limitations This HAP1 antibody is available for research use only.
Review this product on BioCompare and get a $20 Amazon gift card

Related Products

Description

Additional name(s) for this target protein: Huntingtin-associated protein 1

Application Notes

Optimal dilution of the HAP1 antibody should be determined by the researcher.

Immunogen

Amino acids RYDFRYSEDREQ were used as the immunogen for this HAP1 antibody.

Storage

Aliquot and store the HAP1 antibody at -20oC.

Cross
Bulk Quote Request Form
Name*:
Organization*:
Email*:
Phone Number*:
Catalog No.*:
Comments and Specifics(amount, formulation, etc.)*:
Validation code: Captchapackage Image


Can't read the image? click here to refresh.
    *required field

Your bulk quote request has been submitted successfully!

Please contact us if you have any questions.