• Tel: 858.663.9055
  • SeparatorEmail: info@nsjbio.com
  • Tel: 858.663.9055
  • Email: info@nsjbio.com
Home >> Antibodies >> HA Tag Antibody

HA Tag Antibody [clone BC-8] (RQ4678)

  Catalog No Formulation Size Price (USD)  
Image RQ4678 Antibody in PBS with 0.02% sodium azide, 50% glycerol and 0.4-0.5mg/ml BSA 100 ul 439
Microvalidated Rab Mono Image
Bulk quote request
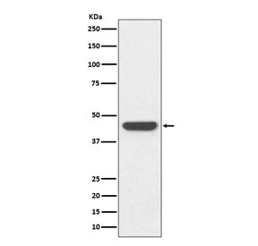
Western blot testing of an HA-tagged protein with HA Tag antibody.
Availability 1-2 weeks
Species Reactivity HA Tag
Format Purified
Clonality Rabbit Monoclonal
Isotype Rabbit IgG
Clone Name BC-8
Purity Affinity purified
Applications Western Blot : 1:3000-1:10000
Limitations This HA Tag antibody is available for research use only.
Review this product on BioCompare and get a $20 Amazon gift card

Related Products

Description

Epitope tags consisting of short sequences recognized by well-characterizated monoclonal antibodies have been widely used in the study of protein expression in various systems. NSJ's anti-HA monoclonal antibody (Clone BC-8) provides a simple solution to detect the expression of an HA-tagged protein in cells.

Application Notes

Optimal dilution of the HA Tag antibody should be determined by the researcher.

Immunogen

A synthetic peptide specific to Human influenza hemagglutinin (HA) was used as the immunogen for the HA Tag antibody.

Storage

Store the HA Tag antibody at -20oC.

Cross
Bulk Quote Request Form
Name*:
Organization*:
Email*:
Phone Number*:
Catalog No.*:
Comments and Specifics(amount, formulation, etc.)*:
Validation code: Captchapackage Image


Can't read the image? click here to refresh.
    *required field

Your bulk quote request has been submitted successfully!

Please contact us if you have any questions.