• Tel: 858.663.9055
  • SeparatorEmail: info@nsjbio.com
  • Tel: 858.663.9055
  • Email: info@nsjbio.com
Home >> Antibodies >> H2AFX Antibody / Histone H2AX

H2AFX Antibody / Histone H2AX [clone BIA-8] (RQ5464)

  Catalog No Formulation Size Price (USD)  
Image RQ5464 Antibody in PBS with 0.02% sodium azide, 50% glycerol and 0.4-0.5mg/ml BSA 100 ul 439
Microvalidated Rab Mono Image
Bulk quote request
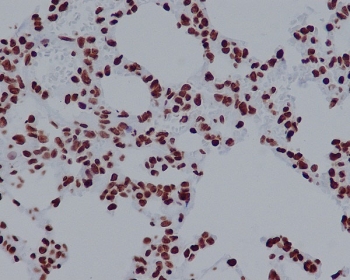
IHC staining of FFPE rat lung tissue with H2AFX antibody. HIER: boil tissue sections in pH6, 10mM citrate buffer, for 10-20 min and allow to cool before testing.
Western blot testing of human Raji cell lysate with H2AFX antibody. Predicted molecular weight ~15 kDa.
Availability 1-2 weeks
Species Reactivity Human, Mouse, Rat
Format Purified
Clonality Rabbit Monoclonal
Isotype Rabbit IgG
Clone Name BIA-8
Purity Affinity purified
UniProt P16104
Localization Nuclear
Applications Western Blot : 1:500-1:2000
Immunohistochemistry : 1:50-1:200
Limitations This H2AFX antibody is available for research use only.
Review this product on BioCompare and get a $20 Amazon gift card

Related Products

Description

Histones are basic nuclear proteins that are responsible for the nucleosome structure of the chromosomal fiber in eukaryotes. Two molecules of each of the four core histones (H2A, H2B, H3, and H4) form an octamer, around which approximately 146 bp of DNA is wrapped in repeating units, called nucleosomes. The linker histone, H1, interacts with linker DNA between nucleosomes and functions in the compaction of chromatin into higher order structures. This gene encodes a replication-independent histone that is a member of the histone H2A family, and generates two transcripts through the use of the conserved stem-loop termination motif, and the polyA addition motif. [RefSeq]

Application Notes

Optimal dilution of the H2AFX antibody should be determined by the researcher.

Immunogen

A synthetic peptide specific to human Histone H2A.X / H2AFX was used as the immunogen for the H2AFX antibody.

Storage

Store the H2AFX antibody at -20oC.

Cross
Bulk Quote Request Form
Name*:
Organization*:
Email*:
Phone Number*:
Catalog No.*:
Comments and Specifics(amount, formulation, etc.)*:
Validation code: Captchapackage Image


Can't read the image? click here to refresh.
    *required field

Your bulk quote request has been submitted successfully!

Please contact us if you have any questions.