• Tel: 858.663.9055
  • SeparatorEmail: info@nsjbio.com
  • Tel: 858.663.9055
  • Email: info@nsjbio.com
Home >> Antibodies >> H1F0 Antibody / Histone H1.0

H1F0 Antibody / Histone H1.0 [clone 5I3E6] (RQ6994)

  Catalog No Formulation Size Price (USD)  
Image RQ6994 0.5mg/ml if reconstituted with 0.2ml sterile DI water 100 ug 439
Bulk quote request
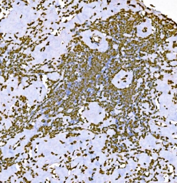
IHC staining of FFPE Hodgkin's lymphoma tissue with H1F0 antibody. HIER: boil tissue sections in pH8 EDTA for 20 min and allow to cool before testing.
IHC staining of FFPE human renal cell carcinoma tissue with H1F0 antibody. HIER: boil tissue sections in pH8 EDTA for 20 min and allow to cool before testing.
IHC staining of FFPE human liver cancer tissue with H1F0 antibody. HIER: boil tissue sections in pH8 EDTA for 20 min and allow to cool before testing.
IHC staining of FFPE human tonsil tissue with H1F0 antibody. HIER: boil tissue sections in pH8 EDTA for 20 min and allow to cool before testing.
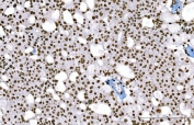
IHC staining of FFPE human gastric carcinoma tissue with H1F0 antibody. HIER: boil tissue sections in pH8 EDTA for 20 min and allow to cool before testing.
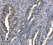
IHC staining of FFPE human differentiated adenocarcinoma of the rectum tissue with H1F0 antibody. HIER: boil tissue sections in pH8 EDTA for 20 min and allow to cool before testing.
IHC staining of FFPE human placental tissue with H1F0 antibody. HIER: boil tissue sections in pH8 EDTA for 20 min and allow to cool before testing.
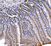
IHC staining of FFPE mouse colon tissue with H1F0 antibody. HIER: boil tissue sections in pH8 EDTA for 20 min and allow to cool before testing.
Western blot testing of human 1) U-2 OS, 2) PC-3 and 3) HepG2 cell lysate with H1F0 antibody. Predicted molecular weight ~20 kDa but can be observed at up to ~30 kDa.
Flow cytometry testing of human SiHa cells with H1F0 antibody at 1ug/million cells (blocked with goat sera); Red=cells alone, Green=isotype control, Blue= H1F0 antibody.
Availability 1-3 business days
Species Reactivity Human, Mouse
Format Antigen affinity purified
Clonality Monoclonal (mouse origin)
Isotype Mouse IgG2b
Clone Name 5I3E6
Purity Antigen affinity purified
Buffer Lyophilized from 1X PBS with 2% Trehalose
UniProt P07305
Localization Nuclear
Applications Western Blot : 0.5-1 ug/ml
Immunohistochemistry (FFPE) : 2-5ug/ml
Flow Cytometry : 1-3ug/million cells
Limitations This H1F0 antibody is available for research use only.
Review this product on BioCompare and get a $20 Amazon gift card

Related Products

Description

H1 histone family, member 0 is a member of the histone family of nuclear proteins which are a component of chromatin. In humans, this protein is encoded by the H1F0 gene. It is mapped to 22q13.1. Histones are basic nuclear proteins that are responsible for the nucleosome structure of the chromosomal fiber in eukaryotes. Nucleosomes consist of approximately 146 bp of DNA wrapped around a histone octamer composed of pairs of each of the four core histones (H2A, H2B, H3, and H4). The chromatin fiber is further compacted through the interaction of a linker histone, H1, with the DNA between the nucleosomes to form higher order chromatin structures. This gene is intronless and encodes a replication-independent histone that is a member of the histone H1 family.

Application Notes

Optimal dilution of the H1F0 antibody should be determined by the researcher.

Immunogen

Recombinant human protein (amino acids K20-K159) was used as the immunogen for the H1F0 antibody.

Storage

After reconstitution, the H1F0 antibody can be stored for up to one month at 4oC. For long-term, aliquot and store at -20oC. Avoid repeated freezing and thawing.

Cross
Bulk Quote Request Form
Name*:
Organization*:
Email*:
Phone Number*:
Catalog No.*:
Comments and Specifics(amount, formulation, etc.)*:
Validation code: Captchapackage Image


Can't read the image? click here to refresh.
    *required field

Your bulk quote request has been submitted successfully!

Please contact us if you have any questions.