• Tel: 858.663.9055
  • SeparatorEmail: info@nsjbio.com
  • Tel: 858.663.9055
  • Email: info@nsjbio.com
Home >> Antibodies >> H pylori Antibody (Catalase) / Helicobacter pylori

H pylori Antibody (Catalase) / Helicobacter pylori [clone HPYL/8575R] (V5323)

  Catalog No Formulation Size Price (USD)  
Image V5323-100UG 0.2 mg/ml in 1X PBS with 0.1 mg/ml BSA (US sourced), 0.05% sodium azide 100 ug 539
Image
V5323-20UG 0.2 mg/ml in 1X PBS with 0.1 mg/ml BSA (US sourced), 0.05% sodium azide 20 ug 249
Image
V5323SAF-100UG 1 mg/ml in 1X PBS; BSA free, sodium azide free 100 ug 539
Microvalidated Recrabbitmono
Bulk quote request
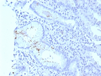
IHC staining of FFPE human H. pylori-infected stomach tissue with H pylori antibody (clone HPYL/8575R). HIER: boil tissue sections in pH 9 10mM Tris with 1mM EDTA for 20 min and allow to cool before testing.
Availability 1-3 business days
Species Reactivity Helicobacter pylori
Format Purified
Clonality Recombinant Rabbit Monoclonal
Isotype Rabbit IgG, kappa
Clone Name HPYL/8575R
Purity Protein A/G affinity
Localization Cell surface, Cytoplasm
Applications Immunohistochemistry (FFPE) : 1-2ug/ml for 30 min at RT
Limitations This H pylori antibody is available for research use only.
Review this product on BioCompare and get a $20 Amazon gift card

Related Products

Description

The spiral shaped bacterium Helicobacter pylori is strongly associated with inflammation of the stomach and is also implicated in the development of gastric malignancy. H. pylori is known to cause peptic ulcers and chronic gastritis in human. It is associated with duodenal ulcers and may be involved in development of adenocarcinoma and low-grade lymphoma of mucosa associated lymphoid tissue in the stomach. This antibody stains the individual H. pylori bacterium when it presents on the surface of the epithelium or in the cytoplasm of the epithelial cells in biopsy tissue sections from the antrum and body of the stomach.

Application Notes

Optimal dilution of the H pylori antibody should be determined by the researcher.

Immunogen

A recombinant Helicobacter pylori Catalase protein fragment (within amino acids 323-445) was used as the immunogen for the H pylori antibody.

Storage

Aliquot the H pylori antibody and store frozen at -20oC or colder. Avoid repeated freeze-thaw cycles.

Cross
Bulk Quote Request Form
Name*:
Organization*:
Email*:
Phone Number*:
Catalog No.*:
Comments and Specifics(amount, formulation, etc.)*:
Validation code: Captchapackage Image


Can't read the image? click here to refresh.
    *required field

Your bulk quote request has been submitted successfully!

Please contact us if you have any questions.