• Tel: 858.663.9055
  • SeparatorEmail: info@nsjbio.com
  • Tel: 858.663.9055
  • Email: info@nsjbio.com
Home >> Antibodies >> GULP1 Antibody / CED6

GULP1 Antibody / CED6 (R33786)

  Catalog No Formulation Size Price (USD)  
Image R33786-100UG 0.5 mg/ml in 1X TBS, pH7.3, with 0.5% BSA (US sourced) and 0.02% sodium azide 100 ug 449
Bulk quote request
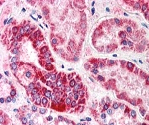
IHC staining of FFPE human kidney with GULP1 antibody at 5ug/ml. HIER: steamed with pH6 citrate buffer, AP-staining.
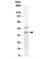
Western blot testing of human placenta lysate with GULP1 antibody at 0.2ug/ml. The expected ~35kDa band and the additional ~46kDa band are both blocked by the immunizing peptide.
Availability 1-3 business days
Species Reactivity Human
Predicted Reactivity Mouse, Rat, Dog
Format Antigen affinity purified
Clonality Polyclonal (goat origin)
Isotype Goat Ig
Purity Antigen affinity
Gene ID 51454
Applications Western Blot : 0.2-0.6ug/ml
Immunohistochemistry (FFPE) : 5-10 ug/ml
ELISA (peptide) LOD : 1:64000
Limitations This GULP1 antibody is available for research use only.
Review this product on BioCompare and get a $20 Amazon gift card

Description

Additional name(s) for this target protein: Engulfment adaptor PTB domain containing 1; CED6

Application Notes

Optimal dilution of the GULP1 antibody should be determined by the researcher.

Immunogen

Amino acids EGTVFCLDPLDSRC were used as the immunogen for this GULP1 antibody.

Storage

Aliquot and store the GULP1 antibody at -20oC.

Cross
Bulk Quote Request Form
Name*:
Organization*:
Email*:
Phone Number*:
Catalog No.*:
Comments and Specifics(amount, formulation, etc.)*:
Validation code: Captchapackage Image


Can't read the image? click here to refresh.
    *required field

Your bulk quote request has been submitted successfully!

Please contact us if you have any questions.