• Tel: 858.663.9055
  • SeparatorEmail: info@nsjbio.com
  • Tel: 858.663.9055
  • Email: info@nsjbio.com
Home >> Antibodies >> Guanylate binding protein 1 Antibody / GBP1

Guanylate binding protein 1 Antibody / GBP1 [clone GBP1/7617] (V4662)

  Catalog No Formulation Size Price (USD)  
Image V4662-100UG 0.2 mg/ml in 1X PBS with 0.1 mg/ml BSA (US sourced), 0.05% sodium azide 100 ug 539
Image
V4662-20UG 0.2 mg/ml in 1X PBS with 0.1 mg/ml BSA (US sourced), 0.05% sodium azide 20 ug 249
Image
V4662SAF-100UG 1 mg/ml in 1X PBS; BSA free, sodium azide free 100 ug 539
Bulk quote request
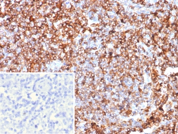
IHC staining of FFPE human lymph node tissue with Guanylate binding protein 1 antibody (clone GBP1/7617). Inset: PBS used in place of primary Ab (secondary Ab negative control). HIER: boil tissue sections in pH 9 10mM Tris with 1mM EDTA for 20 min and allow to cool before testing.
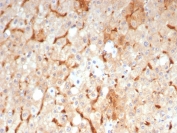
IHC staining of FFPE human liver tissue with Guanylate binding protein 1 antibody (clone GBP1/7617). HIER: boil tissue sections in pH 9 10mM Tris with 1mM EDTA for 20 min and allow to cool before testing.
SDS-PAGE analysis of purified, BSA-free Guanylate binding protein 1 antibody (clone GBP1/7617) as confirmation of integrity and purity.
Availability 1-3 business days
Species Reactivity Human
Format Purified
Clonality Monoclonal (mouse origin)
Isotype Mouse IgG1, kappa
Clone Name GBP1/7617
Purity Protein A/G affinity
UniProt P32455
Localization Cytoplasm, Cell membrane, Secreted
Applications Immunohistochemistry (FFPE) : 1-2ug/ml for 30 min at RT
Limitations This Guanylate binding protein 1 antibody is available for research use only.
Review this product on BioCompare and get a $20 Amazon gift card

Related Products

Description

GBP1 (guanylate binding protein 1) is a 592 amino acid protein member of the GTPase protein family and is able to bind specifically to guanine nucleotides such as GMP, GDP and GTP. GMP is hydrolyzed to GTP in two consecutive cleavage steps, both of which are carried out by GBP1. Localized to the cytoplasm, GBP1 is expressed in endothelial cells of the vascular system and is induced by IFN-g during macrophage induction. GBP1 is thought to regulate the expression of MMP-1, which mediates the proliferation and invasiveness of endothelial cells. GBP1 plays a key role in regulating inflammatory cytokines and provides protection against vesicular stomatitis and encephalomyocarditis viruses. GBP1 expression is highly induced in the vessels of skin diseases such as psoriasis and Kaposi s sarcoma, making it a novel cellular activation marker that characterizes inflammatory cytokines of endothelial cells.

Application Notes

Optimal dilution of the Guanylate binding protein 1 antibody should be determined by the researcher.

Immunogen

A recombinant partial protein sequence (within amino acids 400-592) from the human protein was used as the immunogen for the Guanylate binding protein 1 antibody.

Storage

Aliquot the Guanylate binding protein 1 antibody and store frozen at -20oC or colder. Avoid repeated freeze-thaw cycles.

Cross
Bulk Quote Request Form
Name*:
Organization*:
Email*:
Phone Number*:
Catalog No.*:
Comments and Specifics(amount, formulation, etc.)*:
Validation code: Captchapackage Image


Can't read the image? click here to refresh.
    *required field

Your bulk quote request has been submitted successfully!

Please contact us if you have any questions.