• Tel: 858.663.9055
  • SeparatorEmail: info@nsjbio.com
  • Tel: 858.663.9055
  • Email: info@nsjbio.com
Home >> Antibodies >> GTF2H2C Antibody

GTF2H2C Antibody [clone PCRP-GTF2H2C-2C9] (V9246)

  Catalog No Formulation Size Price (USD)  
Image V9246-100UG 0.2 mg/ml in 1X PBS with 0.1 mg/ml BSA (US sourced), 0.05% sodium azide 100 ug 539
Image
V9246-20UG 0.2 mg/ml in 1X PBS with 0.1 mg/ml BSA (US sourced), 0.05% sodium azide 20 ug 249
Image
V9246SAF-100UG 1 mg/ml in 1X PBS; BSA free, sodium azide free 100 ug 539
Microvalidated
Bulk quote request
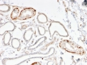
IHC staining of FFPE human breast carcinoma tissue with GTF2H2C antibody (clone PCRP-GTF2H2C-2C9). HIER: boil tissue sections in pH 9 10mM Tris with 1mM EDTA for 20 min and allow to cool before testing.
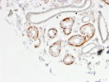
IHC staining of FFPE human breast carcinoma tissue with GTF2H2C antibody (clone PCRP-GTF2H2C-2C9). HIER: boil tissue sections in pH 9 10mM Tris with 1mM EDTA for 20 min and allow to cool before testing.
Immunofluorescent staining of PFA-fixed human HeLa cells using GTF2H2C antibody (green, clone PCRP-GTF2H2C-2C9) and phalloidin (red).
FACS staining of PFA-fixed human HeLa cells with GTF2H2C antibody (blue, clone PCRP-GTF2H2C-2C9), and unstained cells (red).
Analysis of HuProt(TM) microarray containing more than 19,000 full-length human proteins using GTF2H2C antibody (clone PCRP-GTF2H2C-2C9). These results demonstrate the foremost specificity of the PCRP-GTF2H2C-2C9 mAb. Z- and S- score: The Z-score represents the strength of a signal that an antibody (in combination with a fluorescently-tagged anti-IgG secondary Ab) produces when binding to a particular protein on the HuProt(TM) array. Z-scores are described in units of standard deviations (SD's) above the mean value of all signals generated on that array. If the targets on the HuProt(TM) are arranged in descending order of the Z-score, the S-score is the difference (also in units of SD's) between the Z-scores. The S-score therefore represents the relative target specificity of an Ab to its intended target.
SDS-PAGE analysis of purified, BSA-free GTF2H2C antibody (clone PCRP-GTF2H2C-2C9) as confirmation of integrity and purity.
Availability 1-3 business days
Species Reactivity Human
Format Purified
Clonality Monoclonal (mouse origin)
Isotype Mouse IgG2c
Clone Name PCRP-GTF2H2C-2C9
Purity Protein A/G affinity
UniProt Q6P1K8
Localization Nucleus
Applications Flow Cytometry : 1-2ug/million cells
Immunofluorescence : 1-2ug/ml
Western Blot : 1-2ug/ml
Immunohistochemistry (FFPE) : 1-2ug/ml
Limitations This GTF2H2C antibody is available for research use only.
Review this product on BioCompare and get a $20 Amazon gift card

Description

Initiation of transcription from protein-coding genes in eukaryotes is a complex process that requires RNA polymerase II, as well as families of basal transcription factors. Binding of the factor TFIID (TBP) to the TATA box is believed to be the first step in the formation of a multiprotein complex containing several additional factors, including TFIIA, TFIIB, TFIIE, TFIIF and TFIIH. TFIIH (or BTF2) is a multisubunit transcription/DNA repair factor that possesses several enzymatic activities. The core of TFIIH is composed of five subunits, designated p89 (XPB or ERCC3), p62, p52, p44 and p34. Additional subunits of the TFIIH complex are p80 (XPD or ERCC2) and the ternary kinase complex composed of Cdk7, cyclin H and MAT1. Both p89 and p80 have ATP-dependent helicase activity. The p62, p52 and p44 subunits have been shown to be involved in nucleotide excision repair.

Application Notes

Optimal dilution of the GTF2H2C antibody should be determined by the researcher.

Immunogen

Recombinant full-length human GTF2H2C protein was used as the immunogen for the GTF2H2C antibody.

Storage

Aliquot the GTF2H2C antibody and store frozen at -20oC or colder. Avoid repeated freeze-thaw cycles.

Cross
Bulk Quote Request Form
Name*:
Organization*:
Email*:
Phone Number*:
Catalog No.*:
Comments and Specifics(amount, formulation, etc.)*:
Validation code: Captchapackage Image


Can't read the image? click here to refresh.
    *required field

Your bulk quote request has been submitted successfully!

Please contact us if you have any questions.