• Tel: 858.663.9055
  • SeparatorEmail: info@nsjbio.com
  • Tel: 858.663.9055
  • Email: info@nsjbio.com
Home >> Antibodies >> GSTM3 Antibody

GSTM3 Antibody [clone CPTC-GSTMu3-1] (V7281)

  Catalog No Formulation Size Price (USD)  
Image V7281-100UG 0.2 mg/ml in 1X PBS with 0.1 mg/ml BSA (US sourced) and 0.05% sodium azide 100 ug 539
Image
V7281-20UG 0.2 mg/ml in 1X PBS with 0.1 mg/ml BSA (US sourced) and 0.05% sodium azide 20 ug 249
Image
V7281SAF-100UG 1 mg/ml in 1X PBS; BSA free, sodium azide free 100 ug 539
Image
V7281IHC-7ML Prediluted in 1X PBS with 0.1 mg/ml BSA (US sourced) and 0.05% sodium azide; *For IHC use only* 7 ml 539
Microvalidated
Bulk quote request
Analysis of HuProt(TM) microarray containing more than 19,000 full-length human proteins using GSTM3 antibody (clone CPTC-GSTMu3-1). These results demonstrate the foremost specificity of the CPTC-GSTMu3-1 mAb.
Z- and S- score: The Z-score represents the strength of a signal that an antibody (in combination with a fluorescently-tagged anti-IgG secondary Ab) produces when binding to a particular protein on the HuProt(TM) array. Z-scores are described in units of standard deviations (SD's) above the mean value of all signals generated on that array. If the targets on the HuProt(TM) are arranged in descending order of the Z-score, the S-score is the difference (also in units of SD's) between the Z-scores. The S-score therefore represents the relative target specificity of an Ab to its intended target.
Western blot testing of human T-47D cell lysate with GSTM3 antibody. Predicted molecular weight ~26 kDa.
Western blot testing of human liver and HeLa cell lysate with GSTM3 antibody. Predicted molecular weight ~26 kDa.
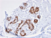
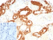
IHC staining of FFPE human breast carcinoma tissue with GSTM3 antibody (clone CPTC-GSTMu3-1). HIER: boil tissue sections in pH 9 10mM Tris with 1mM EDTA for 20 min and allow to cool before testing.
SDS-PAGE analysis of purified, BSA-free GSTM3 antibody (clone CPTC-GSTMu3-1) as confirmation of integrity and purity.
Availability 1-3 business days
Species Reactivity Human
Format Purified
Clonality Monoclonal (mouse origin)
Isotype Mouse IgG2a, kappa
Clone Name CPTC-GSTMu3-1
Purity Protein G affinity chromatography
UniProt P21266
Localization Cytoplasmic
Applications Immunohistochemistry (FFPE) : 1-2ug/ml for 30 min at RT
Wesern Blot : 2-4ug/ml
Limitations This GSTM3 antibody is available for research use only.
Review this product on BioCompare and get a $20 Amazon gift card

Related Products

Description

Members of the glutathione S-transferase (GST) family of proteins function in the detoxification of xenobiotics to protect cells against toxicant-induced damage. There are eight families of GST proteins, each of which are composed of proteins that have a variety of functions throughout the cell. The GSTM proteins (GSTM1-GSTM5 in human and GSTM1-GSTM7 in mouse) are members of the mu class of enzymes that conjugate with glutathione and function in the detoxification of carcinogens, environmental toxins and products of oxidative stress. The genes encoding the mu class of enzymes are organized in a gene cluster on chromosome 1p13.3 and are known to be highly polymorphic. These genetic variations can change an individual's susceptibility to carcinogens and toxins as well as affect the toxicity and efficacy of certain drugs. Null mutations of this class mu gene have been linked with an increase in a number of cancers, likely due to an increased susceptibility to environmental toxins and carcinogens. Multiple protein isoforms are encoded by transcript variants of this gene. GSTM3 protein is selectively expressed in the testis and brain. GSTM3 may also be tumor suppressive in RCC, as low expression has been demonstrated to correlate with RCC risk and poor prognosis in post-op patients.

Application Notes

Optimal dilution of the GSTM3 antibody should be determined by the researcher.

1. The prediluted format is supplied in a dropper bottle and is optimized for use in IHC. After epitope retrieval step (if required), drip mAb solution onto the tissue section and incubate at RT for 30 min.

Immunogen

Full length recombinant human protein was used as the immunogen for this GSTM3 antibody.

Storage

Store the GSTM3 antibody at 2-8oC (with azide) or aliquot and store at -20oC or colder (without azide).

Cross
Bulk Quote Request Form
Name*:
Organization*:
Email*:
Phone Number*:
Catalog No.*:
Comments and Specifics(amount, formulation, etc.)*:
Validation code: Captchapackage Image


Can't read the image? click here to refresh.
    *required field

Your bulk quote request has been submitted successfully!

Please contact us if you have any questions.