• Tel: 858.663.9055
  • SeparatorEmail: info@nsjbio.com
  • Tel: 858.663.9055
  • Email: info@nsjbio.com
Home >> Antibodies >> GST pi Antibody / GSTP1

GST pi Antibody / GSTP1 (F54312)

  Catalog No Formulation Size Price (USD)  
Image F54312-0.4ML In 1X PBS, pH 7.4, with 0.09% sodium azide 0.4 ml 429
Image
F54312-0.08ML In 1X PBS, pH 7.4, with 0.09% sodium azide 0.08 ml 199
Bulk quote request
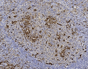
IHC testing of FFPE human tonsil tissue with GST pi antibody. HIER: steam section in pH6 citrate buffer for 20 min and allow to cool prior to staining.
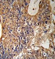
IHC testing of FFPE human colon carcinoma tissue with GST pi antibody. HIER: steam section in pH6 citrate buffer for 20 min and allow to cool prior to staining.
Immunofluorescent staining of fixed and permeabilized human A549 cells with GST pi antibody (green), DAPI nuclear stain (blue) and anti-Actin (red).
Western blot testing of human 1) K562, 2) PC-3, 3) Y79 and 4) mouse lung lysate with GST pi antibody. Predicted molecular weight ~23 kDa.
Flow cytometry testing of fixed and permeabilized human Ramos cells with GST pi antibody; Blue=isotype control, Green= GST pi antibody.
Availability 1-3 business days
Species Reactivity Human, Mouse
Format Purified
Clonality Polyclonal (rabbit origin)
Isotype Rabbit Ig
Purity Antigen affinity purified
UniProt P09211
Localization Cytoplasmic, nuclear
Applications Western Blot : 1:500-1:2000
Immunohistochemistry (FFPE) : 1:25
Immunofluorescence : 1:25
Flow Cytometry : 1:25 (1x10e6 cells)
Limitations This GST pi antibody is available for research use only.
Review this product on BioCompare and get a $20 Amazon gift card

Related Products

Description

Glutathione S-transferases (GSTs) are a family of enzymes that play an important role in detoxification by catalyzing the conjugation of many hydrophobic and electrophilic compounds with reduced glutathione. Based on their biochemical, immunologic, and structural properties, the soluble GSTs are categorized into 4 main classes: alpha, mu, pi, and theta. This GST family member is a polymorphic gene encoding active, functionally different GSTP1 variant proteins that are thought to function in xenobiotic metabolism and play a role in susceptibility to cancer, and other diseases.

Application Notes

The stated application concentrations are suggested starting points. Titration of the GST pi antibody may be required due to differences in protocols and secondary/substrate sensitivity.

Immunogen

A portion of amino acids 97-126 from the human protein was used as the immunogen for the GST pi antibody.

Storage

Aliquot the GST pi antibody and store frozen at -20oC or colder. Avoid repeated freeze-thaw cycles.

Cross
Bulk Quote Request Form
Name*:
Organization*:
Email*:
Phone Number*:
Catalog No.*:
Comments and Specifics(amount, formulation, etc.)*:
Validation code: Captchapackage Image


Can't read the image? click here to refresh.
    *required field

Your bulk quote request has been submitted successfully!

Please contact us if you have any questions.