• Tel: 858.663.9055
  • SeparatorEmail: info@nsjbio.com
  • Tel: 858.663.9055
  • Email: info@nsjbio.com
Home >> Antibodies >> Gsk3b Antibody

Gsk3b Antibody (F44221)

  Catalog No Formulation Size Price (USD)  
Image F44221-0.4ML In 1X PBS, pH 7.4, with 0.09% sodium azide 0.4 ml 429
Image
F44221-0.08ML In 1X PBS, pH 7.4, with 0.09% sodium azide 0.08 ml 199
Bulk quote request
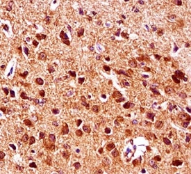
Gsk3b antibody immunohistochemistry analysis in formalin fixed and paraffin embedded mouse brain tissue.
Gsk3b antibody western blot analysis in mouse NIH3T3 lysate. Predicted molecular weight ~50 kDa.
Availability 1-3 business days
Species Reactivity Mouse
Predicted Reactivity Human, Rat
Format Antigen affinity purified
Clonality Polyclonal (rabbit origin)
Isotype Rabbit Ig
Purity Antigen affinity
UniProt Q9WV60
Applications Western Blot : 1:1000
IHC (Paraffin) : 1:10-1:50
Limitations This Gsk3b antibody is available for research use only.
Review this product on BioCompare and get a $20 Amazon gift card

Related Products

Description

Participates in the Wnt signaling pathway. Implicated in the hormonal control of several regulatory proteins including glycogen synthase, MYB and the transcription factor JUN. Phosphorylates JUN at sites proximal to its DNA-binding domain, thereby reducing its affinity for DNA. May phosphorylate MUC1 and decrease the interaction of MUC1 with CTNNB1/beta-catenin. Phosphorylates CTNNB1/beta-catenin. Phosphorylates SNAI1 (By similarity).

Application Notes

Titration of the Gsk3b antibody may be required due to differences in protocols and secondary/substrate sensitivity.

Immunogen

A portion of amino acids 30-59 from the mouse protein was used as the immunogen for this Gsk3b antibody.

Storage

Aliquot the Gsk3b antibody and store frozen at -20oC or colder. Avoid repeated freeze-thaw cycles.

Cross
Bulk Quote Request Form
Name*:
Organization*:
Email*:
Phone Number*:
Catalog No.*:
Comments and Specifics(amount, formulation, etc.)*:
Validation code: Captchapackage Image


Can't read the image? click here to refresh.
    *required field

Your bulk quote request has been submitted successfully!

Please contact us if you have any questions.