• Tel: 858.663.9055
  • SeparatorEmail: info@nsjbio.com
  • Tel: 858.663.9055
  • Email: info@nsjbio.com
Home >> Antibodies >> GRSF1 Antibody / G-rich sequence factor 1

GRSF1 Antibody / G-rich sequence factor 1 (RQ6256)

  Catalog No Formulation Size Price (USD)  
Image RQ6256 0.5mg/ml if reconstituted with 0.2ml sterile DI water 100 ug 439
Bulk quote request
Immunofluorescent staining of FFPE human MCF7 cells with GRSF1 antibody (green) and DAPI nuclear stain (blue). HIER: steam section in pH6 citrate buffer for 20 min.
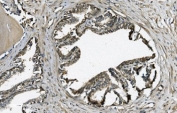
IHC staining of FFPE human prostate cancer with GRSF1 antibody. HIER: boil tissue sections in pH8 EDTA for 20 min and allow to cool before testing.
IHC staining of FFPE human pancreatic cancer with GRSF1 antibody (right) and negative control (left). HIER: boil tissue sections in pH8 EDTA for 20 min and allow to cool before testing.
Western blot testing of human 1) HeLa, 2) Jurkat, 3) HEK293, 4) Raji, 5) MCF7 and 6) HepG2 cell lysate with GRSF1 antibody. Predicted molecular weight ~53 kDa.
Flow cytometry testing of human HL60 cells with GRSF1 antibody at 1ug/million cells (blocked with goat sera); Red=cells alone, Green=isotype control, Blue= GRSF1 antibody.
Flow cytometry testing of human U937 cells with GRSF1 antibody at 1ug/million cells (blocked with goat sera); Red=cells alone, Green=isotype control, Blue= GRSF1 antibody.
Availability 1-3 business days
Species Reactivity Human
Format Antigen affinity purified
Clonality Polyclonal (rabbit origin)
Isotype Rabbit IgG
Purity Affinity purified
Buffer Lyophilized from 1X PBS with 2% Trehalose
UniProt Q12849
Localization Cytoplasmic
Applications Western Blot : 1-2ug/ml
Immunohistochemistry (FFPE) : 2-5ug/ml
Immunofluorescence : 5ug/ml
Flow Cytometry : 1-3ug/million cells
Direct ELISA : 0.1-0.5ug/ml
Limitations This GRSF1 antibody is available for research use only.
Review this product on BioCompare and get a $20 Amazon gift card

Related Products

Description

G-rich sequence factor 1 (GRSF1) is a regulator of post-transcriptional mitochondrial gene expression. The protein encoded by this gene is a cellular protein that binds RNAs containing the G-rich element. The protein is localized in the cytoplasm, and has been shown to stimulate translation of viral mRNAs in vitro. Multiple transcript variants encoding different isoforms have been found for this gene.

Application Notes

Optimal dilution of the GRSF1 antibody should be determined by the researcher.

Immunogen

A human recombinant partial protein (amino acids Q119-M405) was used as the immunogen for the GRSF1 antibody.

Storage

After reconstitution, the GRSF1 antibody can be stored for up to one month at 4oC. For long-term, aliquot and store at -20oC. Avoid repeated freezing and thawing.

Cross
Bulk Quote Request Form
Name*:
Organization*:
Email*:
Phone Number*:
Catalog No.*:
Comments and Specifics(amount, formulation, etc.)*:
Validation code: Captchapackage Image


Can't read the image? click here to refresh.
    *required field

Your bulk quote request has been submitted successfully!

Please contact us if you have any questions.