• Tel: 858.663.9055
  • SeparatorEmail: info@nsjbio.com
  • Tel: 858.663.9055
  • Email: info@nsjbio.com
Home >> Antibodies >> GRP94 Antibody / HSP90B1

GRP94 Antibody / HSP90B1 [clone SRPR90b] (V7173)

  Catalog No Formulation Size Price (USD)  
Image V7173-100UG 0.2 mg/ml in 1X PBS with 0.1 mg/ml BSA (US sourced) and 0.05% sodium azide 100 ug 539
Image
V7173-20UG 0.2 mg/ml in 1X PBS with 0.1 mg/ml BSA (US sourced) and 0.05% sodium azide 20 ug 249
Image
V7173SAF-100UG 1 mg/ml in 1X PBS; BSA free, sodium azide free 100 ug 539
Image
V7173IHC-7ML Prediluted in 1X PBS with 0.1 mg/ml BSA (US sourced) and 0.05% sodium azide; *For IHC use only* 7 ml 539
Bulk quote request
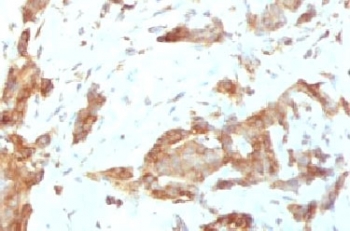
IHC testing of FFPE human breast carcinoma with GRP94 antibody (clone SRPR90b). FFPE testing requires sections to be boiled in pH 9 10mM Tris with 1mM EDTA for 10-20 minutes, followed by cooling at RT for 20 minutes, prior to staining.
Availability 1-3 business days
Species Reactivity Human
Format Purified
Clonality Monoclonal (rat origin)
Isotype Rat IgG2a, kappa
Clone Name SRPR90b
Purity Protein G affinity chromatography
UniProt P14625
Localization Cytoplasmic and nuclear
Applications Immunohistology (FFPE) : 1-2ug/ml for 30 min at RT
Prediluted IHC Only Format : incubate for 30 min at RT (1)
Limitations This GRP94 antibody is available for research use only.
Review this product on BioCompare and get a $20 Amazon gift card

Related Products

Description

Heat shock protein 90kDa beta member 1, known also as endoplasmin, gp96, grp94 and ERp99, is an HSP90 paralogue that is found in the endoplasmic reticulum. It plays critical roles in folding proteins in the secretory pathway such as Toll-like receptors and integrins. It has been implicated as an essential immune chaperone to regulate both innate and adaptive immunity. [Wiki]

Application Notes

Titering of the GRP94 antibody may be required for optimal performance.

1. The prediluted format is supplied in a dropper bottle and is optimized for use in IHC. After epitope retrieval step (if required), drip mAb solution onto the tissue section and incubate at RT for 30 min.

Immunogen

Recombinant full-length human HSP90B1 protein was used as the immunogen for the GRP94 antibody.

Storage

Store the GRP94 antibody at 2-8oC (with azide) or aliquot and store at -20oC or colder (without azide).

Cross
Bulk Quote Request Form
Name*:
Organization*:
Email*:
Phone Number*:
Catalog No.*:
Comments and Specifics(amount, formulation, etc.)*:
Validation code: Captchapackage Image


Can't read the image? click here to refresh.
    *required field

Your bulk quote request has been submitted successfully!

Please contact us if you have any questions.