• Tel: 858.663.9055
  • SeparatorEmail: info@nsjbio.com
  • Tel: 858.663.9055
  • Email: info@nsjbio.com
Home >> Antibodies >> GRP94 Antibody / HSP90B1

GRP94 Antibody / HSP90B1 (R31967)

  Catalog No Formulation Size Price (USD)  
Image R31967 0.5mg/ml if reconstituted with 0.2ml sterile DI water 100 ug 439
Bulk quote request
Immunofluorescent staining of FFPE human A431 cells with GRP94 antibody (green) and DAPI nuclear stain (blue). HIER: steam section in pH6 citrate buffer for 20 min.
IHC staining of FFPE human lung cancer with GRP94 antibody. HIER: boil tissue sections in pH8 EDTA for 20 min and allow to cool before testing.
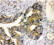
IHC staining of FFPE human intestinal cancer with GRP94 antibody. HIER: boil tissue sections in pH8 EDTA for 20 min and allow to cool before testing.
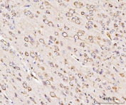
IHC staining of FFPE mouse brain with GRP94 antibody. HIER: boil tissue sections in pH8 EDTA for 20 min and allow to cool before testing.
IHC staining of FFPE rat brain with GRP94 antibody. HIER: boil tissue sections in pH8 EDTA for 20 min and allow to cool before testing.
IHC staining of FFPE human tonsil with GRP94 antibody. HIER: boil tissue sections in pH8 EDTA for 20 min and allow to cool before testing.
Western blot testing of human 1) HeLa, 2) U-87 MG, 3) A431, 4) Caco-2, 5) ThP-1, 6) Caco-2, 7) HepG2 and 8) HL60 cell lysate with GRP94 antibody. Expected molecular weight : 92~96 kDa.
Western blot testing of rat 1) PC-12, 2) RH35, 3) C6 and mouse 4) HEPA1-6, 5) NIH 3T3, 6) RAW264.7, 7) SP2/0 and 8) ANA-1 cell lysate with GRP94 antibody. Expected molecular weight : 92~96 kDa.
Flow cytometry testing of human ThP-1 cells with GRP94 antibody at 1ug/million cells (blocked with goat sera); Red=cells alone, Green=isotype control, Blue= GRP94 antibody.
Availability 1-3 business days
Species Reactivity Human, Mouse, Rat
Format Antigen affinity purified
Clonality Polyclonal (rabbit origin)
Isotype Rabbit IgG
Purity Antigen affinity
Buffer Lyophilized from 1X PBS with 2.5% BSA and 0.025% sodium azide
UniProt P14625
Localization Cytoplasmic
Applications Western Blot : 0.1-0.5ug/ml
Immunohistochemistry (FFPE) : 1-2ug/ml
Immunofluorescence (FFPE) : 5ug/ml
Flow Cytometry : 1-3ug/million cells
Limitations This GRP94 antibody is available for research use only.
Review this product on BioCompare and get a $20 Amazon gift card

Related Products

Description

GRP94 (94 kDa glucose-regulated protein), also called Endoplasmin, is a chaperone protein that in humans is encoded by the HSP90B1 gene. This gene encodes a member of a family of adenosine triphosphate (ATP)-metabolizing molecular chaperones with roles in stabilizing and folding other proteins. The encoded protein is localized to melanosomes and the endoplasmic reticulum. Expression of this protein is associated with a variety of pathogenic states, including tumor formation.

Application Notes

Optimal dilution of the GRP94 antibody should be determined by the researcher.

Immunogen

Amino acids 43-221 of human GRP94 were used as the immunogen for the GRP94 antibody.

Storage

After reconstitution, the GRP94 antibody can be stored for up to one month at 4oC. For long-term, aliquot and store at -20oC. Avoid repeated freezing and thawing.

Cross
Bulk Quote Request Form
Name*:
Organization*:
Email*:
Phone Number*:
Catalog No.*:
Comments and Specifics(amount, formulation, etc.)*:
Validation code: Captchapackage Image


Can't read the image? click here to refresh.
    *required field

Your bulk quote request has been submitted successfully!

Please contact us if you have any questions.