• Tel: 858.663.9055
  • SeparatorEmail: info@nsjbio.com
  • Tel: 858.663.9055
  • Email: info@nsjbio.com
Home >> Antibodies >> GRP94 Antibody / HSP90B1

GRP94 Antibody / HSP90B1 [clone 9G10.F8.2] (V2908)

  Catalog No Formulation Size Price (USD)  
Image V2908-100UG 0.2 mg/ml in 1X PBS with 0.1 mg/ml BSA (US sourced) and 0.05% sodium azide 100 ug 539
Image
V2908-20UG 0.2 mg/ml in 1X PBS with 0.1 mg/ml BSA (US sourced) and 0.05% sodium azide 20 ug 249
Image
V2908SAF-100UG 1 mg/ml in 1X PBS; BSA free, sodium azide free 100 ug 539
Image
V2908IHC-7ML Prediluted in 1X PBS with 0.1 mg/ml BSA (US sourced) and 0.05% sodium azide; *For IHC use only* 7 ml 539
Bulk quote request
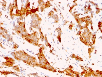
IHC analysis of formalin-fixed, paraffin-embedded human breast carcinoma tissue stained with GRP94 antibody (clone 9G10.F8.2). HIER: boil tissue sections in pH 9 10mM Tris with 1mM EDTA for 20 min and allow to cool before testing.
IHC analysis of formalin-fixed, paraffin-embedded human breast carcinoma tissue stained with GRP94 antibody (clone 9G10.F8.2). HIER: boil tissue sections in pH 9 10mM Tris with 1mM EDTA for 20 min and allow to cool before testing.
Immunofluorescent staining of human HepG2 cells with GRP94 antibody (clone 9G10.F8.2, green) and Reddot nuclear stain (red).
Western blot testing of A) human HeLa and B) mouse NIH3T3 cell lysate with GRP94 antibody (clone 9G10.F8.2). Expected molecular weight: 94~96 kDa.
Flow cytometry staining of PFA-fixed human HepG2 cells with GRP94 antibody; Red=isotype control, Blue= GRP94 antibody.
SDS-PAGE analysis of purified, BSA-free GRP94 antibody (clone 9G10.F8.2) as confirmation of integrity and purity.
Availability 1-3 business days
Species Reactivity Human, Mouse, Rat
Format Purified
Clonality Monoclonal (rat origin)
Isotype Rat IgG2a, kappa
Clone Name 9G10.F8.2
Purity Protein G affinity chromatography
UniProt P14625
Localization Cytoplasmic and nuclear
Applications Flow Cytometry : 1-2ug/million cells
Immunofluorescence : 1-3ug/ml
Western Blot : 2-4ug/ml
Immunohistochemistry (FFPE) : 1-2ug/ml for 30 min at RT
Limitations This GRP94 antibody is available for research use only.
Review this product on BioCompare and get a $20 Amazon gift card

Related Products

Description

Recognizes a protein of 94kDa, which is identified as the glucose-regulated protein 94 (grp94) and also tumor rejection antigen (gp96). Grp94 shows a high degree of sequence homology with the heat shock protein 90 (hsp90). This mAb is highly specific to grp94 and shows minimal cross-reaction with other members of the HSP90 family. Grps are a class of proteins unresponsive to heat shock and are induced by glucose deprivation. Grp94 has been briefly studied as a prognostic factor in breast cancer.

Application Notes

Optimal dilution of the GRP94 antibody should be determined by the researcher.

1. Staining of formalin-fixed tissues requires boiling tissue sections in 10mM Citrate buffer, pH 6.0, for 10-20 min followed by cooling at RT for 20 min.
2. The prediluted format is supplied in a dropper bottle and is optimized for use in IHC. After epitope retrieval step (if required), drip mAb solution onto the tissue section and incubate at RT for 30 min.

Immunogen

Purified glucose regulated protein 94 from chicken oviducts was used as the immunogen for the GRP94 antibody.

Storage

Store the GRP94 antibody at 2-8oC (with azide) or aliquot and store at -20oC or colder (without azide).

Cross
Bulk Quote Request Form
Name*:
Organization*:
Email*:
Phone Number*:
Catalog No.*:
Comments and Specifics(amount, formulation, etc.)*:
Validation code: Captchapackage Image


Can't read the image? click here to refresh.
    *required field

Your bulk quote request has been submitted successfully!

Please contact us if you have any questions.