• Tel: 858.663.9055
  • SeparatorEmail: info@nsjbio.com
  • Tel: 858.663.9055
  • Email: info@nsjbio.com
Home >> Antibodies >> Growth Hormone Antibody (pituitary)

Growth Hormone Antibody (pituitary) [clone AADG-7] (RQ4961)

  Catalog No Formulation Size Price (USD)  
Image RQ4961 Antibody in PBS with 0.02% sodium azide, 50% glycerol and 0.4-0.5mg/ml BSA 100 ul 439
Microvalidated Rab Mono Image
Bulk quote request
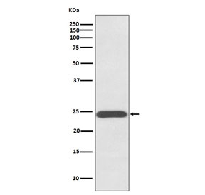
Western blot testing of human placenta lysate with Growth Hormone antibody. Predicted molecular weight: 22-25 kDa.
Availability 1-2 weeks
Species Reactivity Human
Format Purified
Clonality Rabbit Monoclonal
Isotype Rabbit IgG
Clone Name AADG-7
Purity Affinity purified
UniProt P01241
Applications Western Blot : 1:500-1:2000
Limitations This Growth Hormone antibody is available for research use only.
Review this product on BioCompare and get a $20 Amazon gift card

Related Products

Description

Somatotropin / Growth Hormone 1 / GH1 plays an important role in growth control. Its major role in stimulating body growth is to stimulate the liver and other tissues to secrete IGF-1. It stimulates both the differentiation and proliferation of myoblasts. It also stimulates amino acid uptake and protein synthesis in muscle and other tissues. [UniProt]

Application Notes

Optimal dilution of the Growth Hormone antibody should be determined by the researcher.

Immunogen

A synthetic peptide specific to human Growth Hormone / GH1 was used as the immunogen for the Growth Hormone antibody.

Storage

Store the Growth Hormone antibody at -20oC.

Cross
Bulk Quote Request Form
Name*:
Organization*:
Email*:
Phone Number*:
Catalog No.*:
Comments and Specifics(amount, formulation, etc.)*:
Validation code: Captchapackage Image


Can't read the image? click here to refresh.
    *required field

Your bulk quote request has been submitted successfully!

Please contact us if you have any questions.