• Tel: 858.663.9055
  • SeparatorEmail: info@nsjbio.com
  • Tel: 858.663.9055
  • Email: info@nsjbio.com
Home >> Antibodies >> Growth Differentiation Factor 9 Antibody / GDF9

Growth Differentiation Factor 9 Antibody / GDF9 [clone GDF9/6458] (V5383)

  Catalog No Formulation Size Price (USD)  
Image V5383-100UG 0.2 mg/ml in 1X PBS with 0.1 mg/ml BSA (US sourced), 0.05% sodium azide 100 ug 539
Image
V5383-20UG 0.2 mg/ml in 1X PBS with 0.1 mg/ml BSA (US sourced), 0.05% sodium azide 20 ug 249
Image
V5383SAF-100UG 1 mg/ml in 1X PBS; BSA free, sodium azide free 100 ug 539
Microvalidated
Bulk quote request
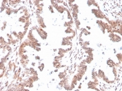
IHC staining of FFPE human ovary tissue with Growth Differentiation Factor 9 antibody (clone GDF9/6458). Inset: PBS used in place of primary Ab (secondary Ab negative control).
Analysis of HuProt(TM) microarray containing more than 19,000 full-length human proteins using Growth Differentiation Factor 9 antibody (clone GDF9/6458). These results demonstrate the foremost specificity of the GDF9/6458 mAb. Z- and S- Score: The Z-score represents the strength of a signal that a monoclonal antibody (clone MAb) (in combination with a fluorescently-tagged anti-IgG secondary antibody) produces when binding to a particular protein on the HuProt(TM) array. Z-scores are described in units of standard deviations (SD's) above the mean value of all signals generated on that array. If targets on HuProt(TM) are arranged in descending order of the Z-score, the S-score is the difference (also in units of SD's) between the Z-score. S-score therefore represents the relative target specificity of a MAb to its intended target. A MAb is considered to specific to its intended target, if the MAb has an S-score of at least 2.5. For example, if a MAb binds to protein X with a Z-score of 43 and to protein Y with a Z-score of 14, then the S-score for the binding of that MAb to protein X is equal to 29.
SDS-PAGE analysis of purified, BSA-free Growth Differentiation Factor 9 antibody (clone GDF9/6458) as confirmation of integrity and purity.
Availability 1-3 business days
Species Reactivity Human
Format Purified
Clonality Monoclonal (mouse origin)
Isotype Mouse IgG2a, kappa
Clone Name GDF9/6458
Purity Protein A/G affinity
UniProt O60383
Localization Cytoplasm, Secreted
Applications Immunohistochemistry (FFPE) : 1-2ug/ml
Limitations This Growth Differentiation Factor 9 antibody is available for research use only.
Review this product on BioCompare and get a $20 Amazon gift card

Related Products

Description

GDF9 is a member of the bone morphogenetic protein (BMP) family and the TGF-beta superfamily. This group of proteins is characterized by a polybasic proteolytic processing site which is cleaved to produce a mature protein containing seven conserved cysteine residues. The members of this family are regulators of cell growth and differentiation in both embryonic and adult tissues. Growth factors synthesized by ovarian somatic cells directly affect oocyte growth and function. GDF9 is expressed in oocytes and is thought to be required for ovarian folliculogenesis. GDF9/6458 can be used in assays to detect oocyte expression and has been shown to neutralize GDF9 biological activity.

Application Notes

Optimal dilution of the Growth Differentiation Factor 9 antibody should be determined by the researcher.

Immunogen

A recombinant fragment (within amino acids 250-450) of human Growth Differentiation Factor 9 protein was used as the immunogen for the Growth Differentiation Factor 9 antibody.

Storage

Aliquot the Growth Differentiation Factor 9 antibody and store frozen at -20oC or colder. Avoid repeated freeze-thaw cycles.

Cross
Bulk Quote Request Form
Name*:
Organization*:
Email*:
Phone Number*:
Catalog No.*:
Comments and Specifics(amount, formulation, etc.)*:
Validation code: Captchapackage Image


Can't read the image? click here to refresh.
    *required field

Your bulk quote request has been submitted successfully!

Please contact us if you have any questions.