• Tel: 858.663.9055
  • SeparatorEmail: info@nsjbio.com
  • Tel: 858.663.9055
  • Email: info@nsjbio.com
Home >> Antibodies >> GRM2 Antibody / Metabotropic Glutamate Receptor 2 / mGluR2

GRM2 Antibody / Metabotropic Glutamate Receptor 2 / mGluR2 (R34424)

  Catalog No Formulation Size Price (USD)  
Image R34424-100UG 0.5 mg/ml in 1X TBS, pH7.3, with 0.5% BSA (US sourced) and 0.02% sodium azide 100 ug 449
Bulk quote request
Western blot testing of human hippocampus lysate with GRM2 antibody at 1ug/ml. Predicted molecular weight: ~28 kDa (isoform 2).
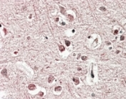
IHC staining of FFPE human cerebral cortex with GRM2 antibody at 4ug/ml. HIER: steamed with pH6 citrate buffer, AP-staining. Membranous and axonal staining is seen.
Availability 1-3 business days
Species Reactivity Human
Predicted Reactivity Mouse, Rat, Dog, Cow, Rabbit
Format Antigen affinity purified
Clonality Polyclonal (goat origin)
Isotype Goat Ig
Purity Antigen affinity
Gene ID 2912
Localization Cytoplasmic
Applications Western Blot : 1-3ug/ml
Immunohistochemistry (FFPE) : 3-5ug/ml
ELISA (peptide) LOD : 1:16000
Limitations This GRM2 antibody is available for research use only.
Review this product on BioCompare and get a $20 Amazon gift card

Related Products

Description

Additional name(s) for this target protein: Glutamate receptor, metabotropic 2; mGluR2

Application Notes

Optimal dilution of the GRM2 antibody should be determined by the researcher.

Immunogen

Amino acids KETAPERREV were used as the immunogen for this GRM2 antibody.

Storage

Aliquot and store the GRM2 antibody at -20oC.

Cross
Bulk Quote Request Form
Name*:
Organization*:
Email*:
Phone Number*:
Catalog No.*:
Comments and Specifics(amount, formulation, etc.)*:
Validation code: Captchapackage Image


Can't read the image? click here to refresh.
    *required field

Your bulk quote request has been submitted successfully!

Please contact us if you have any questions.