• Tel: 858.663.9055
  • SeparatorEmail: info@nsjbio.com
  • Tel: 858.663.9055
  • Email: info@nsjbio.com
Home >> Antibodies >> GRK2 Antibody / Beta-adrenergic receptor kinase 1

GRK2 Antibody / Beta-adrenergic receptor kinase 1 (RQ4087)

  Catalog No Formulation Size Price (USD)  
Image RQ4087 0.5mg/ml if reconstituted with 0.2ml sterile DI water 100 ug 439
Bulk quote request
Immunofluorescent staining of FFPE human U-2 OS cells with GRK2 antibody (green) and DAPI nuclear stain (blue). HIER: steam section in pH6 citrate buffer for 20 min.
IHC staining of FFPE human lung cancer with GRK2 antibody. HIER: boil tissue sections in pH6, 10mM citrate buffer, for 20 min and allow to cool before testing.
IHC staining of FFPE mouse spleen with GRK2 antibody. HIER: boil tissue sections in pH6, 10mM citrate buffer, for 20 min and allow to cool before testing.
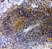
IHC staining of FFPE rat spleen with GRK2 antibody. HIER: boil tissue sections in pH6, 10mM citrate buffer, for 20 min and allow to cool before testing.
Western blot testing of 1) rat spleen, 2) rat stomach, 3) mouse lung, 4) mouse liver and 5) mouse pancreas lysate wtih GRK2 antibody at 0.5ug/ml. Predicted molecular weight ~79 kDa.
Flow cytometry testing of human U-87 MG cells with GRK2 antibody at 1ug/million cells (blocked with goat sera); Red=cells alone, Green=isotype control, Blue= GRK2 antibody.
Availability 1-3 business days
Species Reactivity Human, Mouse, Rat
Predicted Reactivity Human
Format Antigen affinity purified
Clonality Polyclonal (rabbit origin)
Isotype Rabbit IgG
Purity Antigen affinity purified
Buffer Lyophilized from 1X PBS with 2% Trehalose and 0.025% sodium azide
UniProt P25098
Applications Western Blot : 0.5-1ug/ml
Immunohistochemistry (FFPE) : 1-2ug/ml
Immunofluorescence (FFPE) : 2-4ug/ml
Flow Cytometry : 1-3ug/million cells
Limitations This GRK2 antibody is available for research use only.
Review this product on BioCompare and get a $20 Amazon gift card

Related Products

Description

Beta adrenergic receptor kinase (also referred to as beta-ARK or BARK) is a serine/threonine intracellular kinase. The product of this gene phosphorylates the beta-2-adrenergic receptor and appears to mediate agonist-specific desensitization observed at high agonist concentrations. This protein is an ubiquitous cytosolic enzyme that specifically phosphorylates the activated form of the beta-adrenergic and related G-protein-coupled receptors. Abnormal coupling of beta-adrenergic receptor to G protein is involved in the pathogenesis of the failing heart.

Application Notes

Optimal dilution of the GRK2 antibody should be determined by the researcher.

Immunogen

Amino acids DSDPELVQWKKELRDAYREAQQLVQRVPKMKNK from the human protein were used as the immunogen for the GRK2 antibody.

Storage

After reconstitution, the GRK2 antibody can be stored for up to one month at 4oC. For long-term, aliquot and store at -20oC. Avoid repeated freezing and thawing.

Cross
Bulk Quote Request Form
Name*:
Organization*:
Email*:
Phone Number*:
Catalog No.*:
Comments and Specifics(amount, formulation, etc.)*:
Validation code: Captchapackage Image


Can't read the image? click here to refresh.
    *required field

Your bulk quote request has been submitted successfully!

Please contact us if you have any questions.