• Tel: 858.663.9055
  • SeparatorEmail: info@nsjbio.com
  • Tel: 858.663.9055
  • Email: info@nsjbio.com
Home >> Antibodies >> GRK1 Antibody / G protein-coupled receptor kinase 1

GRK1 Antibody / G protein-coupled receptor kinase 1 (FY13121)

  Catalog No Formulation Size Price (USD)  
Image FY13121 Adding 0.2 ml of distilled water will yield a concentration of 500 ug/ml 100 ug 439
Bulk quote request
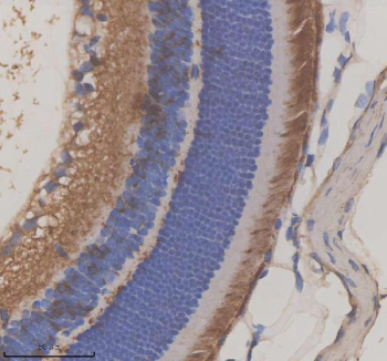
Immunohistochemical staining of GRK1 using anti-GRK1 antibody. GRK1 was detected in a paraffin-embedded section of mouse eye tissue. Heat mediated antigen retrieval was performed in EDTA buffer (pH 8.0, epitope retrieval solution). The tissue section was blocked with 10% goat serum. The tissue section was then incubated with 2 ug/ml rabbit anti-GRK1 antibody overnight at 4oC. Peroxidase Conjugated Goat Anti-rabbit IgG was used as secondary antibody and incubated for 30 minutes at 37oC. The tissue section was developed using an HRP secondary and DAB substrate.
Western blot analysis of GRK1 using anti-GRK1 antibody. Electrophoresis was performed on a 10% SDS-PAGE gel at 80V (Stacking gel) / 120V (Resolving gel) for 2 hours. Lane 1: rat eye tissue lysates, Lane 2: rat brain tissue lysates, Lane 3: mouse eye tissue lysates, Lane 4: mouse brain tissue lysates, Lane 5: mouse NIH/3T3 whole cell lysates. After electrophoresis, proteins were transferred to a nitrocellulose membrane at 150 mA for 50-90 minutes. Blocked the membrane with 5% non-fat milk/TBS for 1.5 hour at RT. The membrane was incubated with rabbit anti-GRK1 antibody at 0.5 ug/ml overnight at 4oC, then washed with TBS-0.1%Tween 3 times with 5 minutes each and probed with a goat anti-rabbit IgG-HRP secondary antibody at a dilution of 1:5000 for 1.5 hour at RT. The signal was developed using an ECL Plus Western Blotting Substrate. GRK1 antibody detects a band at ~64 kDa (expected size) in the indicated samples plus additional faint bands above and below. Such multiple bands have been reported for GRK1 and are consistent with phosphorylated or acylated forms (upper bands) and proteolytic or truncated species (lower bands). While the ~64 kDa species likely represents full-length functional GRK1, the additional bands may reflect regulatory modifications or antibody cross-reactivity.
Immunohistochemical staining of GRK1 using anti-GRK1 antibody. GRK1 was detected in a paraffin-embedded section of rat eye tissue. Heat mediated antigen retrieval was performed in EDTA buffer (pH 8.0, epitope retrieval solution). The tissue section was blocked with 10% goat serum. The tissue section was then incubated with 2 ug/ml rabbit anti-GRK1 antibody overnight at 4oC. Peroxidase Conjugated Goat Anti-rabbit IgG was used as secondary antibody and incubated for 30 minutes at 37oC. The tissue section was developed using an HRP secondary and DAB substrate.
Availability 1-2 days
Species Reactivity Mouse, Rat
Format Lyophilized
Clonality Polyclonal (rabbit origin)
Isotype Rabbit IgG
Purity Immunogen affinity purified
Buffer Each vial contains 4 mg Trehalose, 0.9 mg NaCl, 0.2 mg Na2HPO4.
UniProt Q15835
Localization Cytoplasm
Applications Western Blot : 0.25-0.5ug/ml
Immunohistochemistry : 2-5ug/ml
ELISA : 0.1-0.5ug/ml
Limitations This GRK1 antibody is available for research use only.
Review this product on BioCompare and get a $20 Amazon gift card

Description

GRK1 antibody detects G protein-coupled receptor kinase 1, a serine/threonine kinase responsible for phosphorylating light-activated rhodopsin in photoreceptor cells. The UniProt recommended name is G protein-coupled receptor kinase 1 (GRK1). Also known as Rhodopsin kinase, this enzyme plays a vital role in visual signal termination and photoreceptor recovery following light stimulation.

Functionally, GRK1 antibody identifies a 563-amino-acid cytoplasmic enzyme containing an N-terminal regulator of G protein signaling (RGS) domain, a central catalytic kinase domain, and a C-terminal prenylation site that targets it to photoreceptor membranes. GRK1 phosphorylates activated rhodopsin, facilitating its binding to arrestin and preventing further activation of transducin, thus restoring photoreceptor sensitivity.

The GRK1 gene is located on chromosome 13q34 and is specifically expressed in retinal rod cells and pinealocytes. GRK1�s activity is essential for proper phototransduction and dark adaptation. Its regulation ensures rapid recovery of vision after exposure to light and protects photoreceptors from overstimulation.

Pathologically, GRK1 mutations cause Oguchi disease type 2 and congenital stationary night blindness due to impaired rhodopsin deactivation. Dysregulated GRK1 activity can also contribute to retinal degeneration through prolonged receptor activation and phototoxicity. Research using GRK1 antibody supports studies in phototransduction, GPCR signaling, and inherited retinal disorders.

GRK1 antibody is validated for western blotting, immunofluorescence, and immunohistochemistry to detect visual cycle kinases and photoreceptor signaling proteins. NSJ Bioreagents provides GRK1 antibody reagents optimized for vision research, GPCR regulation, and neurobiology studies.

Structurally, G protein-coupled receptor kinase 1 belongs to the AGC kinase family, with catalytic residues coordinating ATP and substrate binding. Its C-terminal prenylation motif facilitates membrane association. This antibody aids investigation of GRK1's role in receptor desensitization and visual adaptation.

Application Notes

Optimal dilution of the GRK1 antibody should be determined by the researcher.

Immunogen

E.coli-derived human GRK1 recombinant protein (Position: Q28-E524) was used as the immunogen for the GRK1 antibody.

Storage

After reconstitution, the GRK1 antibody can be stored for up to one month at 4oC. For long-term, aliquot and store at -20oC. Avoid repeated freezing and thawing.

Cross
Bulk Quote Request Form
Name*:
Organization*:
Email*:
Phone Number*:
Catalog No.*:
Comments and Specifics(amount, formulation, etc.)*:
Validation code: Captchapackage Image


Can't read the image? click here to refresh.
    *required field

Your bulk quote request has been submitted successfully!

Please contact us if you have any questions.