• Tel: 858.663.9055
  • SeparatorEmail: info@nsjbio.com
  • Tel: 858.663.9055
  • Email: info@nsjbio.com
Home >> Antibodies >> GRIPAP1 Antibody / GRASP 1 / GRIP1-associated protein 1

GRIPAP1 Antibody / GRASP 1 / GRIP1-associated protein 1 (RQ7179)

  Catalog No Formulation Size Price (USD)  
Image RQ7179 0.5mg/ml if reconstituted with 0.2ml sterile DI water 100 ug 439
Bulk quote request
Flow cytometry testing of human HepG2 cells with GRIPAP1 antibody at 1ug/million cells (blocked with goat sera); Red=cells alone, Green=isotype control, Blue= GRIPAP1 antibody.
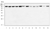
Western blot testing of 1) human HeLa, 2) human HepG2, 3) human RT4, 4) human MCF-7, 5) human SiHa, 6) human T-47D, 7) rat brain, 8) rat pancreas, 9) rat testis, 10) rat PC-12, 11) mouse brain, 12) mouse pancreas and 13) mouse NIH 3T3 cell lysate with GRIPAP1 antibody. Predicted molecular weight ~96 kDa.
Availability 1-3 business days
Species Reactivity Human, Mouse, Rat
Format Antigen affinity purified
Clonality Polyclonal (rabbit origin)
Isotype Rabbit IgG
Purity Antigen affinity purified
Buffer Lyophilized from 1X PBS with 2% Trehalose
UniProt Q4V328
Applications Western Blot : 0.5-1ug/ml
Flow Cytometry : 1-3ug/million cells
Direct ELISA : 0.1-0.5ug/ml
Limitations This GRIPAP1 antibody is available for research use only.
Review this product on BioCompare and get a $20 Amazon gift card

Description

GRIP1-associated protein 1 is a protein that in humans is encoded by the GRIPAP1 gene. This gene encodes a guanine nucleotide exchange factor for the Ras family of small G proteins (RasGEF). The encoded protein interacts in a complex with glutamate receptor interacting protein 1 (GRIP1) and plays a role in the regulation of AMPA receptor function.

Application Notes

Optimal dilution of the GRIPAP1 antibody should be determined by the researcher.

Immunogen

Recombinant human protein (amino acids R42-S841) was used as the immunogen for the GRIPAP1 antibody.

Storage

After reconstitution, the GRIPAP1 antibody can be stored for up to one month at 4oC. For long-term, aliquot and store at -20oC. Avoid repeated freezing and thawing.

Cross
Bulk Quote Request Form
Name*:
Organization*:
Email*:
Phone Number*:
Catalog No.*:
Comments and Specifics(amount, formulation, etc.)*:
Validation code: Captchapackage Image


Can't read the image? click here to refresh.
    *required field

Your bulk quote request has been submitted successfully!

Please contact us if you have any questions.