• Tel: 858.663.9055
  • SeparatorEmail: info@nsjbio.com
  • Tel: 858.663.9055
  • Email: info@nsjbio.com
Home >> Antibodies >> GRIK1 Antibody

GRIK1 Antibody (R35206)

  Catalog No Formulation Size Price (USD)  
Image R35206-100UG 0.5 mg/ml in 1X TBS, pH7.3, with 0.5% BSA (US sourced) and 0.02% sodium azide 100 ug 449
Bulk quote request
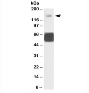
Western blot testing of human cerebellum lysate with GRIK1 antibody at 1ug/ml. Predicted molecular weight: ~104/150+ kDa (unmodified/glycosylated). Both observed bands are blocked by the addition of immunzing peptide.
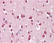
IHC testing of FFPE human brain (cortex) tissue with GRIK1 antibody at 3.75ug/ml. Required HIER: steamed antigen retrieval with pH6 citrate buffer; AP-staining.
Availability 1-3 business days
Species Reactivity Human
Predicted Reactivity Mouse, Rat
Format Antigen affinity purified
Clonality Polyclonal (goat origin)
Isotype Goat Ig
Purity Antigen affinity
Gene ID 2897
Localization Cytoplasmic
Applications Western Blot : 1-3ug/ml
IHC (FFPE) : 3.75ug/ml
ELISA (peptide) LOD : 1:8000
Limitations This GRIK1 antibody is available for research use only.
Review this product on BioCompare and get a $20 Amazon gift card

Related Products

Description

Additional name(s) for this target protein: Glutamate receptor ionotropic kainate 1, GLuR5

Application Notes

Optimal dilution of the GRIK1 antibody should be determined by the researcher.

Immunogen

Amino acids QCKQTHPTNSTS were used as the immunogen for this GRIK1 antibody.

Storage

Aliquot and store the GRIK1 antibody at -20oC.

Cross
Bulk Quote Request Form
Name*:
Organization*:
Email*:
Phone Number*:
Catalog No.*:
Comments and Specifics(amount, formulation, etc.)*:
Validation code: Captchapackage Image


Can't read the image? click here to refresh.
    *required field

Your bulk quote request has been submitted successfully!

Please contact us if you have any questions.