• Tel: 858.663.9055
  • SeparatorEmail: info@nsjbio.com
  • Tel: 858.663.9055
  • Email: info@nsjbio.com
Home >> Antibodies >> GRIK1 Antibody / GLUR5

GRIK1 Antibody / GLUR5 (R31621)

  Catalog No Formulation Size Price (USD)  
Image R31621 0.5mg/ml if reconstituted with 0.2ml sterile DI water 100 ug 439
Bulk quote request
Western blot testing of GRIK1 antibody and Lane 1: mouse brain; 2: mouse brain; 3: human SHG-44 (glioma) lysate. Predicted molecular weight: ~104/150+ kDa (unmodified/glycosylated).
Western blot testing of GRIK1 antibody and recombinant human protein (0.5ng)
Western blot testing of 1) rat brain and 2) mouse brain lysate with GRIK1 antibody. Predicted molecular weight: ~104/150+ kDa (unmodified/glycosylated).
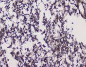
IHC staining of FFPE human glioma with GRIK1 antibody at 1ug/ml. HIER: boil tissue sections in pH6, 10mM citrate buffer, for 10-20 min and allow to cool before testing.
IHC staining of FFPE mouse brain with GRIK1 antibody at 1ug/ml. HIER: boil tissue sections in pH6, 10mM citrate buffer, for 10-20 min and allow to cool before testing.
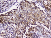
IHC staining of FFPE human lung cancer with GRIK1 antibody at 1ug/ml. HIER: boil tissue sections in pH6, 10mM citrate buffer, for 10-20 min and allow to cool before testing.
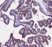
IHC staining of FFPE human thyroid cancer with GRIK1 antibody at 1ug/ml. HIER: boil tissue sections in pH6, 10mM citrate buffer, for 10-20 min and allow to cool before testing.
Availability 1-3 business days
Species Reactivity Human, Mouse, Rat
Format Antigen affinity purified
Clonality Polyclonal (rabbit origin)
Isotype Rabbit IgG
Purity Antigen affinity
Buffer Lyophilized from 1X PBS with 2.5% BSA and 0.025% sodium azide
Gene ID 2897
Applications Western Blot : 0.5-1ug/ml
Immunohistochemistry (FFPE) : 1-2ug/ml
Limitations This GRIK1 antibody is available for research use only.
Review this product on BioCompare and get a $20 Amazon gift card

Related Products

Description

Glutamate receptor, ionotropic, kainate 1, also known as GLUR5, is a protein that in humans is encoded by the GRIK1 gene. It is mapped to 21q21.3. This gene encodes one of the many ionotropic glutamate receptor (GluR) subunits that function as a ligand-gated ion channel. The specific GluR subunit encoded by this gene is of the kainate receptor subtype. Receptor assembly and intracellular trafficking of ionotropic glutamate receptors are regulated by RNA editing and alternative splicing. These receptors mediate excitatory neurotransmission and are critical for normal synaptic function. Exons of this gene are interspersed with exons from the C21or f41 gene, which is transcribed in the same orientation as this gene but does not seem to encode a protein.

Application Notes

The stated application concentrations are suggested starting amounts. Titration of the GRIK1 antibody may be required due to differences in protocols and secondary/substrate sensitivity.

Immunogen

Human partial recombinant protein (AA 271-450) was used as the immunogen for this GRIK1 antibody.

Storage

After reconstitution, the GRIK1 antibody can be stored for up to one month at 4oC. For long-term, aliquot and store at -20oC. Avoid repeated freezing and thawing.

Cross
Bulk Quote Request Form
Name*:
Organization*:
Email*:
Phone Number*:
Catalog No.*:
Comments and Specifics(amount, formulation, etc.)*:
Validation code: Captchapackage Image


Can't read the image? click here to refresh.
    *required field

Your bulk quote request has been submitted successfully!

Please contact us if you have any questions.